Лучшая частная
стоматология России 2025
в рейтинге Startsmile Top
при информационной
поддержке Forbes
ВЕРСИЯ ДЛЯ СЛАБОВИДЯЩИХ +7 (495) 150-00-50
 Ортопедия

Ортопедия

Ортопедия

Направления лечения

Об услуге

Ортопедия

Ортопедия — направление стоматологии, занимающееся восстановлением функционала и эстетики зубных рядов, протезированием зубов, устранением приобретенных деформаций и нарушений зубочелюстного аппарата. Современная ортопедическая стоматология предлагает широкий спектр методик замещения отсутствующих зубов и восстановление частично разрушенных, когда проблему невозможно решить пломбированием. Грамотно используя их, врачи нашей клиники возвращают здоровье зубочелюстной системы при любых патологиях.


Определение ортопедической стоматологии

В отделение ортопедии в нашу стоматологию обращаются пациенты с различными проблемами: те, кто преждевременно потерял зубы из-за кариозного поражения, заболеваний пародонта или лицевых травм. Люди, у которых разрушение зубов достигло 50 или на них имеются заметные эстетические дефекты: сколы, трещины, пигментные пятна, флюороз. В каждой конкретной ситуации врачи Inwhite Medical подбирают оптимальный метод протезирования, позволяющий гарантированно восстановить эстетические и функциональные характеристики зубов.


Виды ортопедических услуг

Стоматологическая клиника Inwhite Medical предоставляет следующие виды ортопедических услуг:


Восстановление зуба временной коронкой

Адаптационные коронки используются в различных протоколах протезирования, позволяют закрыть дефект на время изготовления постоянных протезов и приживления имплантатов. Они предназначены для краткосрочного ношения, а изготавливаются из легких полимеров, что упрощает привыкание пациента к присутствию в полости рта протезной конструкции.


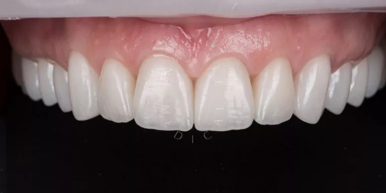
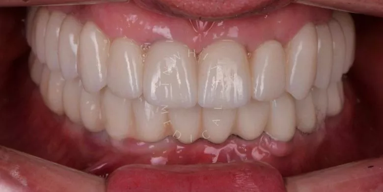
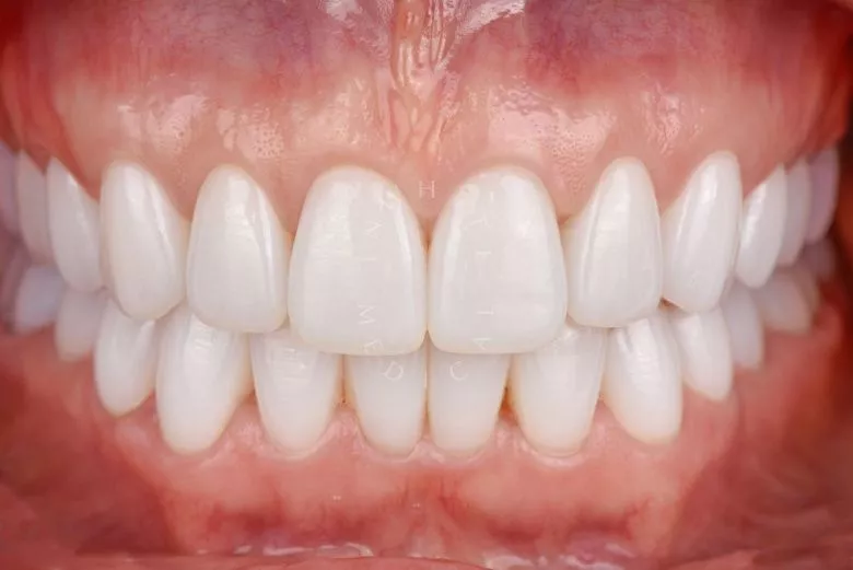
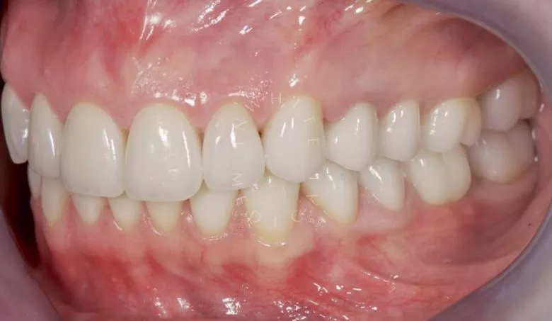
Восстановление зуба керамической коронкой

Гипоаллергенные и эстетичные керамические коронки применяются для восстановления отдельных частично разрушенных зубов, а также при протезировании на имплантатах и при помощи мостовидных протезов. Такие коронки бывают:

  • цельнокерамическими (из керамики E-max);
  • цельноциркониевыми (их вытачивают из блоков диоксида циркония);
  • комбинированными (циркониевый каркас с керамической облицовкой).

Визуально керамические коронки невозможно отличить от родных зубов пациента, что позволяет добиться идеальной эстетики. А служат современные керамические протезы до 20 лет.


Восстановление зуба вкладками

Вкладки изготавливаются в лаборатории по слепкам пациента, применяются для восстановления сильно разрушенных зубов, когда ставить пломбу нецелесообразно. При помощи вкладки можно восстановить форму и объем коронковой части, а также укрепить разрушенный зуб.


Восстановление зуба винирами

Виниры относятся к категории микропротезов, изготавливаются из керамики в формате ультратонких декоративных накладок, а применяются для эстетической реставрации зубов, преимущественно во фронтальной зоне улыбки. Перед установкой виниров проводится профгигиена и подготовка зубов.


Восстановление зуба полукоронками

Полукоронки, как и виниры, относятся к микропротезам и закрывают зуб частично. Применяются:

  • для восстановления утративших эстетику и имеющих незначительные разрушения зубов;
  • при протезировании мостами и бюгельными протезами.

Полукоронки можно ставить на фронтальную поверхность зубов или со стороны языка, закрывая также боковые зоны и режущий край.


Протезирование на имплантатах

Имплантационные системы вживляются в челюстную кость, позволяют максимально физиологично заместить отсутствующие зубы, используются при одиночных и множественных дефектах, а также при полной адентии. На имплантаты можно поставить отдельные коронки, мосты и полные протезы для восстановления сразу всех зубов в ряду. А выполняется протезирование на имплантатах по различным протоколам, включая одноэтапные (в том числе All-on-4 и All-on-6), двухэтапные, экспресс, с немедленной и отсроченной нагрузкой.


Протезирование съемными протезами

Съемное протезирование предполагает использование для замещения отсутствующих зубов полных или частичных протезных конструкций, которые пациент может устанавливать и снимать самостоятельно. Такие протезы могут опираться на собственные зубы или вживленные в челюсть имплантаты. По конструкции выделяют пластиночные, покрывные и бюгельные модели.


Преимущества ортопедических услуг в InWhite Medical

В Inwhite Medical применяются различные методы восстановления и замещения зубов, позволяющие успешно решать стоматологические проблемы пациентов.

  • Все необходимые медицинские мероприятия проводятся в сжатые сроки и в комфортных условиях.
  • Для лечения применяются передовые протоколы, высокотехнологичные методики и инновационные материалы.
  • Результат протезирования на 100 будет соответствовать Вашим ожиданиям.

В нашей клинике работают опытные врачи-стоматологи-ортопеды, способные выполнить протезирование любой степени сложности. А записаться на консультацию к специалисту вы можете по телефону или онлайн, оставив заявку на сайте.

Цены

Восстановление зуба вкладками, виниром, полукоронкой ( керамическая лабораторная вкладка/накладка - 1 поверхность) / А16.07.003.004

71 500 ₽

Восстановление зуба вкладками, виниром, полукоронкой ( керамическая реставрация 1 категории сложности) / А16.07.003.001

85 000 ₽

Восстановление зуба вкладками, виниром, полукоронкой ( керамическая реставрация 2 категории сложности) / A16.07.003.002

110 000 ₽

Восстановление зуба вкладками, виниром, полукоронкой ( керамическая реставрация 3 категории сложности) / A16.07.003.003

132 000 ₽

Восстановление зуба вкладками, виниром, полукоронкой ( керамическая реставрация 4 категории сложности) / A16.07.003.004

140 000 ₽

Восстановление зуба вкладками, виниром, полукоронкой керамической с использованием технологии Cad Cam (1 категория сложности) / A16.07.003.004

71 500 ₽

Восстановление зуба вкладками, виниром, полукоронкой циркониевой с использованием технологии Cad Cam (1 категория сложности) / A16.07.003.005

71 500 ₽

Восстановление зуба вкладками, виниром, полукоронкой циркониевой с использованием технологии Cad Cam (2 категория сложности) / A16.07.003.006

82 500 ₽

Восстановление зуба вкладками, виниром, полукоронкой циркониевой с использованием технологии Cad Cam (3 категория сложности) / A16.07.003.007

93 500 ₽

Восстановление зуба вкладками, виниром, полукоронкой циркониевой с использованием технологии Cad Cam (4 категория сложности) / A16.07.003.008

110 000 ₽

Восстановление зуба коронкой ( керамическая реставрация 1 категории сложности) / A16.07.004.004

93 500 ₽

Восстановление зуба коронкой ( керамическая реставрация 2 категории сложности) / A16.07.004.005

110 000 ₽

Восстановление зуба коронкой ( керамическая реставрация 3 категории сложности) / A16.07.004.006

132 000 ₽

Восстановление зуба коронкой ( керамическая реставрация 4 категории сложности) / A16.07.004.008

140 000 ₽

Восстановление зуба коронкой временной керамокомпозитной (лабораторным методом) / А16.07.004.001

14 900 ₽

Восстановление зуба коронкой временной с повышенными эстетическими показателями (лабораторным методом) / А16.07.004.003

35 200 ₽

Восстановление зуба коронкой временной технология CAD САМ / А16.07.004.007

9 900 ₽

Восстановление зуба коронкой временной технология CAD САМ ( 2 категории) / А16.07.004.009

66 000 ₽

Восстановление зуба коронкой временной технология CAD САМ (длительного ношения) / А16.07.004.008

20 900 ₽

Восстановление зуба коронкой пластмассовой (временная, прямой метод - 1 единица) / А16.07.004.002

12 100 ₽

Восстановление зуба коронкой с использованием технологии Cad Cam (2 категория сложности) / A16.07.004.008

82 500 ₽

Восстановление зуба коронкой с использованием технологии Cad Cam (3 категория сложности) / A16.07.004.009

93 500 ₽

Восстановление зуба коронкой с использованием технологии Cad Cam (4 категория сложности) / A16.07.004.010

110 000 ₽

Восстановление зуба коронкой циркониевой с использованием технологии Cad Cam (1 категория сложности) / A16.07.004.007

71 500 ₽

Восстановление целостности зубного ряда несъёмными мостовидными протезами (временной конструкцией Мерилэнд 1 единица) / A16.07.005

27 500 ₽

Восстановление целостности зубного ряда съемными мостовидными протезами с телескопической фиксацией (1 челюсть) / А16.07.034.003

121 000 ₽

Восстановление целостности зубного ряда съемными мостовидными протезами с телескопической фиксацией (опорная гальваническая коронка 1 единица) / А16.07.034.002

60 500 ₽

Восстановление целостности зубного ряда съемными мостовидными протезами с телескопической фиксацией (опорная коронка 1 единица) / А16.07.034.001

44 000 ₽

Замена матрицы ( коррекция съемной ортопедической конструкции) / A23.30.050.001.001

15 400 ₽

Коррекция прикуса с использованием съёмных и несъёмных ортопедических конструкций (адгезивная фиксация несъемных ортопедических конструкций; 1 единица / А16.07.021.002

3 960 ₽

Коррекция прикуса с использованием съёмных и несъёмных ортопедических конструкций (замена гарнитурных зубов в условно-съемных конструкциях) / А16.07.021.001

137 500 ₽

Коррекция прикуса с использованием съемных и несъемных ортопедических конструкций (шинотерапия с использованием сэндвич шины) / A16.07.021.002

58 300 ₽

Коррекция прикуса с использованием съемных и несъемных ортопедических конструкций (шинотерапия, в том числе с целью диагностики ) / A16.07.021.001

44 550 ₽

Коррекция съемной ортопедической конструкции (коррекция шины) / A23.30.050.001

3 300 ₽

Перебазировка съемного протеза (лабораторный метод) / А23.07.002.034

13 200 ₽

Повторная фиксация на временный цемент несъемных ортопедических конструкций (1 единица) / А16.07.049.001

550 ₽

Повторная фиксация на постоянный цемент несъемных ортопедических конструкций (1 единица) / А16.07.049.002

1 100 ₽

Постоянное шинирование цельнолитыми съемными конструкциями при заболеваниях пародонта (шинирующий бюгель на 1 челюсть) / А16.07.037.001

200 000 ₽

Починка перелома базиса самотвердеющей пластмассой / А23.07.002.037

14 300 ₽

Починка перелома базиса съемного протеза самотвердеющей пластмассой (перебазировка съемного протеза прямым методом) / A23.30.050.001

4 400 ₽

Приварка зуба к съемномку протезу / A23.07.002.036

6 000 ₽

Протезирование зуба с использованием имплантата (временный абатмент без коронки, 1 ед) / A16.07.006.001

16 500 ₽

Протезирование зуба с использованием имплантата (звлечение обломка винта из имплантанта) / A16.07.006.010

11 000 ₽

Протезирование зуба с использованием имплантата (изготовление индивидуального абатмента технология Cad Cam на титановом основании) / А16.07.006.012

20 900 ₽

Протезирование зуба с использованием имплантата (индивидуальный абатмент без коронки, 1 ед) / A16.07.006.003

38 500 ₽

Протезирование зуба с использованием имплантата (индивидуальный абатмент с повышенными этетическими требованиями без коронки, 1 ед) / A16.07.006.002

49 500 ₽

Протезирование зуба с использованием имплантата (стандартный абатмент без коронки, 1 ед) / A16.07.006.004

27 500 ₽

Протезирование зуба с использованием имплантата (установка временной коронки с повышенными эстетическими показателями, 1 ед) / A16.07.006.006

33 000 ₽

Протезирование зуба с использованием имплантата (установка временной коронки, 1 ед) / A16.07.006.005

22 000 ₽

Протезирование зуба с использованием имплантата (установка постоянной безметалловой цельнокерамической с винтовой фиксацией (1 категория сложности) / A16.07.006.007

93 500 ₽

Протезирование зуба с использованием имплантата (установка постоянной безметалловой цельнокерамической с винтовой фиксацией (2 категория сложности) / A16.07.006.008

115 500 ₽

Протезирование зуба с использованием имплантата (установка постоянной безметалловой цельнокерамической с винтовой фиксацией (3 категория сложности) / A16.07.006.009

140 000 ₽

Протезирование зуба с использованием имплантата балочной конструкцией на винтовой фиксации к имплантатам (1 неопорный зуб) / A16.07.006.011

14 300 ₽

Протезирование зуба с использованием имплантата балочной конструкцией на винтовой фиксации к имплантатам (1 опорный зуб) / A16.07.006.012

17 600 ₽

Протезирование зуба с использованием имплантата временной коронкой технология Cad Cam / А16.07.006.010

22 000 ₽

Протезирование зуба с использованием имплантата коронкой постоянной безметалловой цельнокерамической с винтовой фиксацией технология Cad Сam / А16.07.006.011

71 500 ₽

Протезирование зуба с использованием имплантата коронкой постоянной металлокерамической с винтовой фиксацией / А16.07.006.004

49 500 ₽

Протезирование зуба с использованием имплантата коронкой постоянной металлокерамической с повышенными эстетическими показателями / А16.07.006.005

66 000 ₽

Протезирование зубов полными съемными пластиночными протезами (1 челюсть с опорой на имплантаты, временная конструкция) / А16.07.023.001

209 000 ₽

Протезирование зубов полными съемными пластиночными протезами (1 челюсть с опорой на имплантаты, постоянное протезирование. 1 категория сложности ) / А16.07.023.002

385 000 ₽

Протезирование зубов полными съемными пластиночными протезами (1 челюсть с опорой на имплантаты, постоянное протезирование. 2 категория сложности ) / А16.07.023.003

495 000 ₽

Протезирование зубов полными съемными пластиночными протезами (1 челюсть) / А16.07.023.001

77 000 ₽

Протезирование зубов полными съемными пластиночными протезами Dental D (1 челюсть) / А16.07.023.004

93 500 ₽

Протезирование зубов полными съемными пластиночными протезами по технологии BPS (1 челюсть) / А16.07.023.003

157 300 ₽

Протезирование зубов полными съемными пластиночными протезами, с использованием гарнитуры Трибокс Ивоклар (1 челюсть) / А16.07.023.002

71 500 ₽

Протезирование съемными бюгельными протезами с замковой фиксацией (1 челюсть) / А16.07.035.004

253 000 ₽

Протезирование съемными бюгельными протезами с кламмерной фиксацией (1 челюсть) / А16.07.035.003

150 000 ₽

Протезирование частично съемным протезом (1-3 зуба) / А16.07.035.009

27 500 ₽

Протезирование частичными съёмными пластиночными протезами (изготовление мягкой прокладки) / А16.07.035.012

5 500 ₽

Протезирование частичными съемными пластиночными протезами с кламмерной фиксацией (1 челюсть) / А16.07.035.002

49 500 ₽

Снятие несъемной ортопедической конструкции постоянной (1 единица) / А16.07.053.010

1 100 ₽

Снятие несъемной ортопедической конструкции постоянной с помощью лазера (1 единица) / А16.07.053.014

5 000 ₽

Снятие ортопедической конструкции с адгезивной фиксацией / А16.07.053.011

3 300 ₽

Команда

Козлов Сергей Сергеевич

  • Ортопедия
Лернер Александр Яковлевич

  • Ортопедия
Сааков Ленар Гарриевич

  • Ортопедия
Юлдашев Комил Сайранович

  • Ортопедия

Записаться
на прием

Запись в Inwhite Medical