Лучшая частная
стоматология России 2025
в рейтинге Startsmile Top
при информационной
поддержке Forbes
ВЕРСИЯ ДЛЯ СЛАБОВИДЯЩИХ +7 (495) 150-00-50
 Терапия

Терапия

Терапия

Направления лечения

Об услуге

Терапия

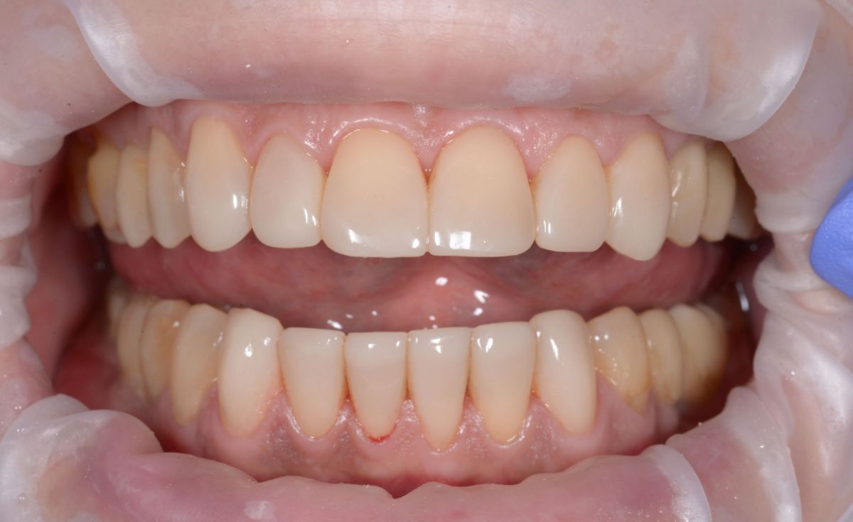
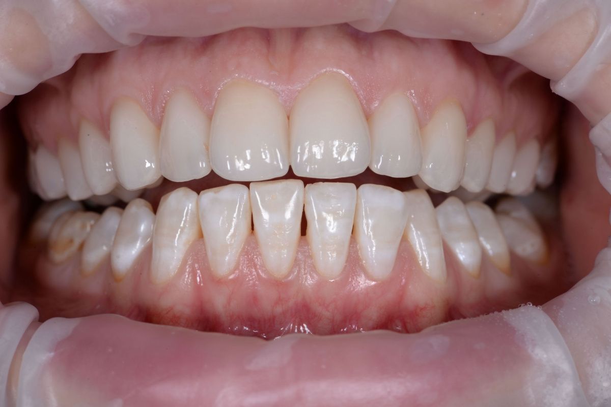
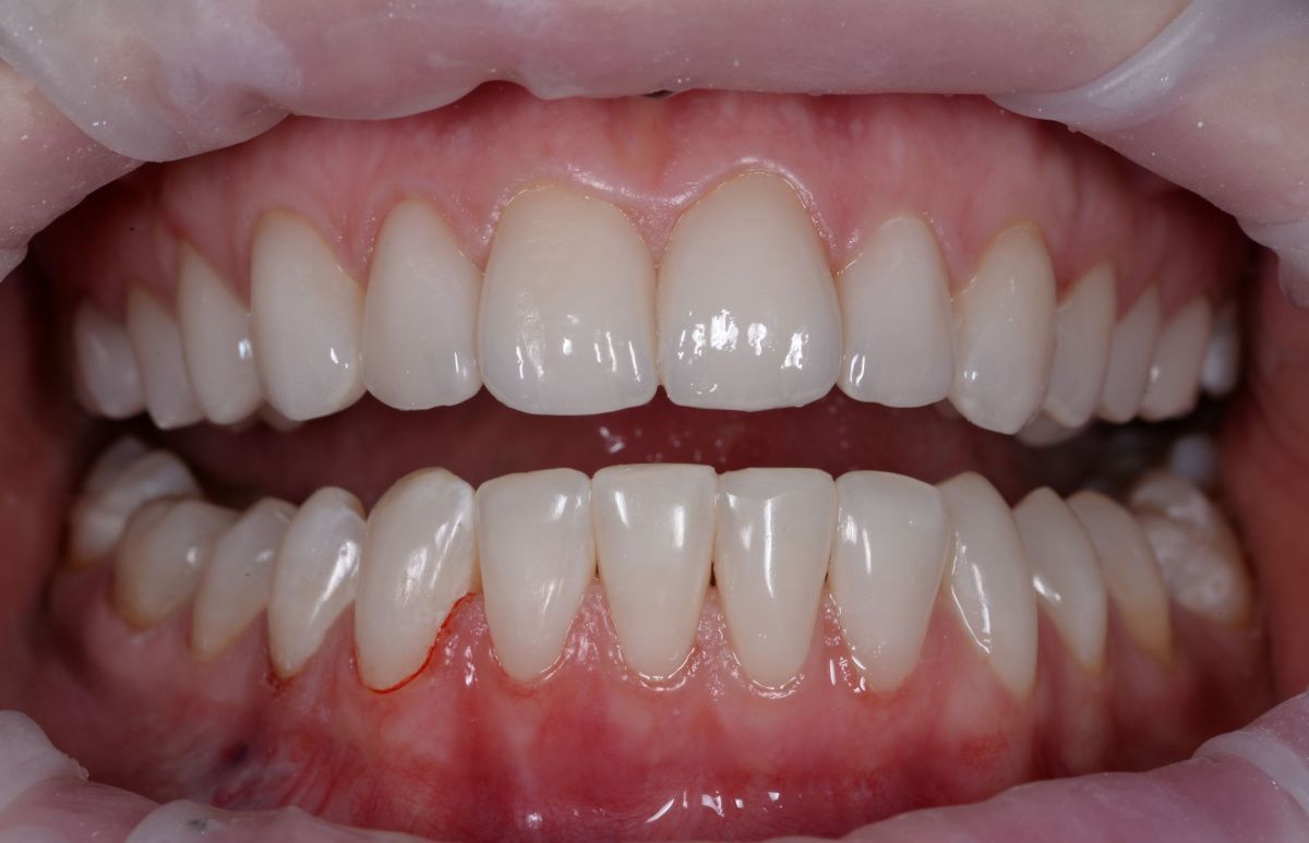
Терапия — обширный раздел стоматологии, объединяющий все существующие методы лечения и восстановления зубов без хирургического вмешательства. Чаще всего врачи-стоматологи-терапевты сталкиваются с кариозными поражениями зубов, которые диагностируется у большинства пациентов. Но не менее важным является восстановление и реставрация зубов после перенесенных стоматологических заболеваний и лицевых травм.


Определение терапии

В Inwhite Medical терапевтическая стоматология реализуется с применением передовых методов, что позволяет успешно устранять различные стоматологические проблемы, связанные с зубами, околозубными тканями и слизистой оболочкой полости рта. Мы используем терапию для лечения кариеса и пульпита, купирования воспалительного процесса в тканях, реставрации и восстановления частично разрушенных зубов. Основными принципами современной терапии наши врачи-стоматологи считают малоинвазивность, безболезненность и безопасность. А комплексный подход, который часто применяется в нашей клинике, обеспечивает лучший результат лечения.


Виды терапии

Отделение терапевтической стоматологии Inwhite Medical предлагает:


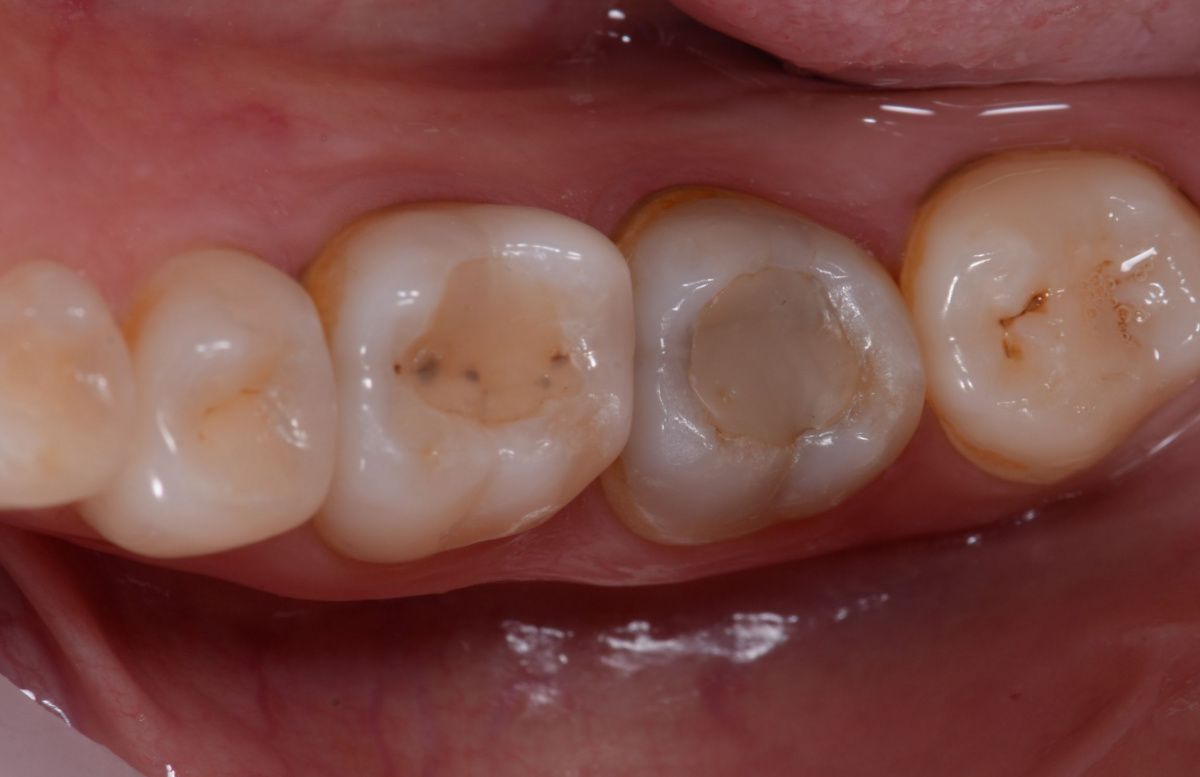
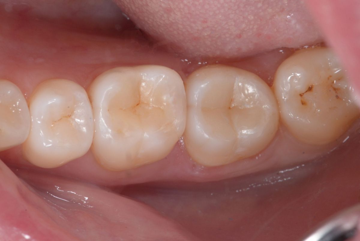
Лечение кариеса

При лечении кариеса, который является самым распространенным стоматологическим заболеванием, наши врачи-стоматологи-терапевты успешно применяют как неинвазивные, так и классические методы:

  • реминерализация — заключается в обработке эмали препаратами, содержащими минералы и фтор, актуальна на стадии мелового пятна;
  • озонотерапия — применяется при минимальном поражении и как профилактическая мера;
  • инфильтрация — подразумевает запечатывание поврежденных твердых тканей жидкой пломбой, проводится на начальной стадии кариеса;
  • лазерная терапия — дает хороший результат при лечении поверхностного и среднего кариеса;
  • ART-метод — обеспечивает бережное лечение, позволяя по максимуму сохранить здоровые ткани;
  • препарирование (чистка бором), депульпирование (удаление нерва) и пломбирование — классическая инвазивная технология, показана при глубоком и осложненном кариесе (пульпите).

На приеме врач-стоматолог-терапевт оценит состояние полости рта и подберет метод лечения с учетом клинической картины и индивидуальных особенностей зубочелюстной системы.


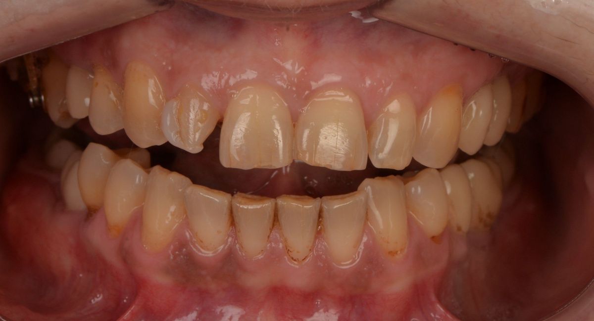
Восстановление зубов пломбами

Пломбы используются для восстановления частично разрушенных зубов, а для пломбирования применяются современные материалы:

  • композиты — подбираются под оттенок зубов, отверждаются послойно под специальной лампой, долго служат;
  • стеклоиономеры — отличаются повышенной прочностью, в течение всего срока эксплуатации выделяют фтор, укрепляя зуб;
  • компомеры — сочетают преимущества композитов и стеклоиономеров, применяются при лечении пришеечного кариеса, актуальны в детской стоматологии;
  • керамика — делаются в формате вкладок, отличаются особой эстетикой и повышенной прочностью.

При восстановлении зуба пломбой используется преимущественно прямой метод, когда реставрация осуществляется непосредственно в полости рта пациента за одно посещение клиники. Но иногда реставрационные элементы мы предварительно изготавливаем в лаборатории.


Восстановление зубов коронками

Установка коронки в терапевтической стоматологии практикуется при лечении зубов, разрушенных на 50 , имеющих аномальную форму, нестандартный размер, различные структурные дефекты. В этом случае мы проводим классическое лечение зуба, обтачивание и установку коронки, которая предварительно изготавливается в лаборатории по слепкам и трехмерных моделям. В качестве материала для коронок используется:

  • металлокерамика;
  • керамика;
  • диоксид циркония.

А как ухаживать за зубами с коронками, доктор обязательно расскажет после завершения лечения.


Восстановление зуба под ортопедическую конструкцию

В некоторых случаях сильно разрушенные зубы восстанавливаются ортопедическими конструкциями и микропротезами: винирами, коронками, вкладками. Для этого проводится стоматологическое лечение, обтачивание зуба, снятие слепков, моделирование и изготовление ортопедической конструкции. А когда предварительные работы будут завершены, осуществляется примерка и установка микропротеза.


Преимущества терапии в InWhite Medical

В нашей стоматологической клинике терапевтическое лечение зубов осуществляется по передовым протоколам, что гарантирует отличный результат. Мы:

  • Практикуем современный подход к консервативному лечению, подразумевающий сочетание нескольких методов, что обеспечивает комплексное воздействие и повышает эффективность терапии.
  • Успешно восстанавливаем функционал и эстетику даже сильно разрушенных зубов.
  • Помогаем пациентам сохранять высокое качество жизни.

В Inwhite Medical можно быстро, безболезненно и с гарантией вылечить кариес, пульпит, периодонтит, гингивит и другие стоматологические заболевания. Запишитесь на прием онлайн, и мы поможем вернуть здоровье вашим зубам!

Цены

Восстановление зуба коронкой (прямое восстановление скола керамики) / A16.07.004.008

7 260 ₽

Восстановление зуба пломбой (лечение кариеса I,V класс по Блэку) / А16.07.002.016

22 300 ₽

Восстановление зуба пломбой (лечение кариеса II,III класс по Блэку) / А16.07.002.017

26 290 ₽

Восстановление зуба пломбой (лечение кариеса IV класс по Блэку, МОД) / А16.07.002.018

28 230 ₽

Восстановление зуба пломбой (лечение кариеса методом Айкон) / А16.07.002.023

7 020 ₽

Восстановление зуба пломбой (лечение обратимого пульпита с использованием материала Биодентин) / А16.07.002.024

13 310 ₽

Восстановление зуба пломбой (лечение поверхностного кариеса) / А16.07.002.023

11 890 ₽

Восстановление зуба пломбой (лечение фиссурного кариеса) / А16.07.002.015

19 360 ₽

Восстановление зуба пломбой (наложение временной пломбы) / А16.07.002.022

1 820 ₽

Восстановление зуба пломбой (при некариозных поражениях; 1 категория сложности) / A16.07.002.021

22 300 ₽

Восстановление зуба пломбой (при некариозных поражениях; 2 категория сложности) / A16.07.002.022

28 230 ₽

Восстановление зуба пломбой (художественная реставрация с повышенными эстетическими показателямя; 1 категория) / А16.07.002.013

34 280 ₽

Восстановление зуба пломбой (художественная реставрация с повышенными эстетическими показателямя; 2 категория) / А16.07.002.014

41 000 ₽

Восстановление зуба пломбой (художественная реставрация с повышенными эстетическими показателямя; 3 категория) / А16.07.002.015

46 000 ₽

Восстановление зуба пломбой под ортопедическую конструкцию / А16.07.002.019

25 890 ₽

Восстановление зуба пломбой под ортопедическую конструкцию (простое) / А16.07.002.020

16 970 ₽

Избирательное полирование зуба (коррекция композитных реставраций) / A16.07.025.001

3 630 ₽

Инструментальная и медикаментозная обработка корневого канала (подготовка корневого канала под стекловолоконный штифт после пломбирования канала) / A16.07.030.004

5 450 ₽

Команда

Авраменко Галина Анатольевна

  • Терапия
Алексеев Михаил Геннадиевич

  • Терапия
Гаммадаев Мурад Адамович

  • Терапия
Донцова Альбина Салаватовна

  • Терапия / Детская стоматология
Неведина Диана Евгеньевна

  • Терапия
Пономарева Вера Павловна

  • Терапия
Тебердиев Тахир Расулович

  • Терапия
Усова Анна Анатольевна

  • Терапия
Феоктистова Карина Евгеньевна

  • Терапия
Чегодаева Алиса Дмитриевна

  • Терапия

Портфолио

Записаться
на прием

Запись в Inwhite Medical