Лучшая частная
стоматология России 2025
в рейтинге Startsmile Top
при информационной
поддержке Forbes
ВЕРСИЯ ДЛЯ СЛАБОВИДЯЩИХ +7 (495) 150-00-50

Установка керамических виниров и коронок

Где лучшая стоматология в Москве? Установка керамических виниров и коронок

О работе

Установка керамических виниров и коронок

Результат

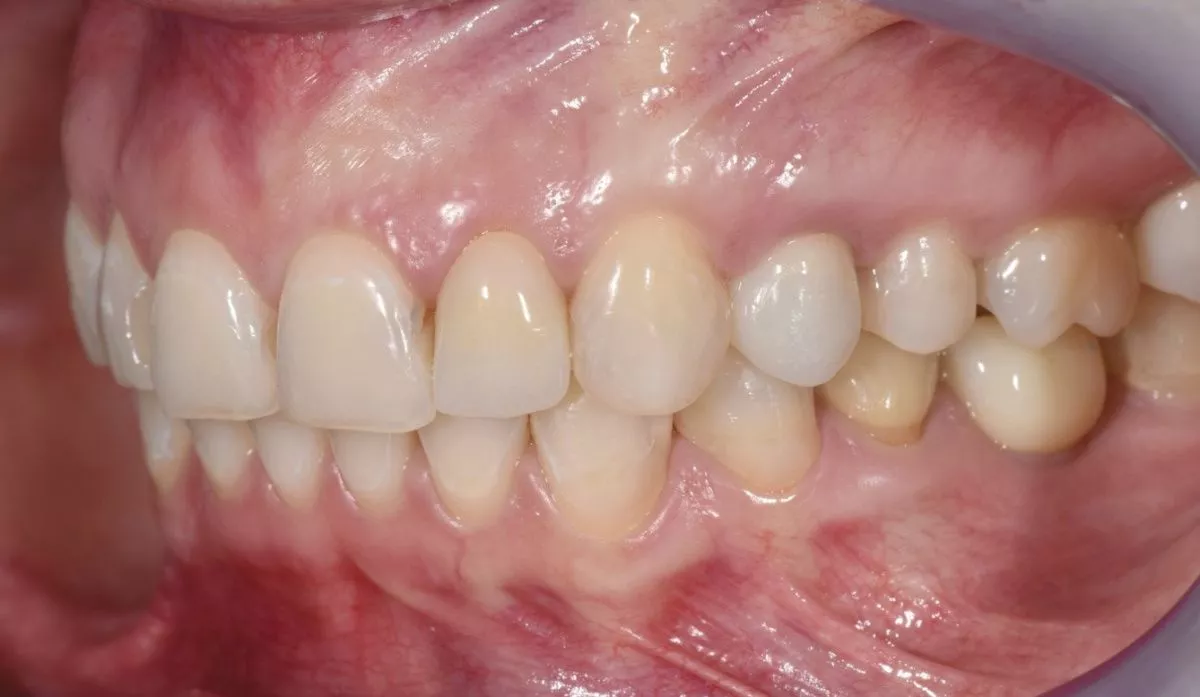
Где лучшая стоматология в Москве? Установка керамических виниров и коронок  - до процедуры
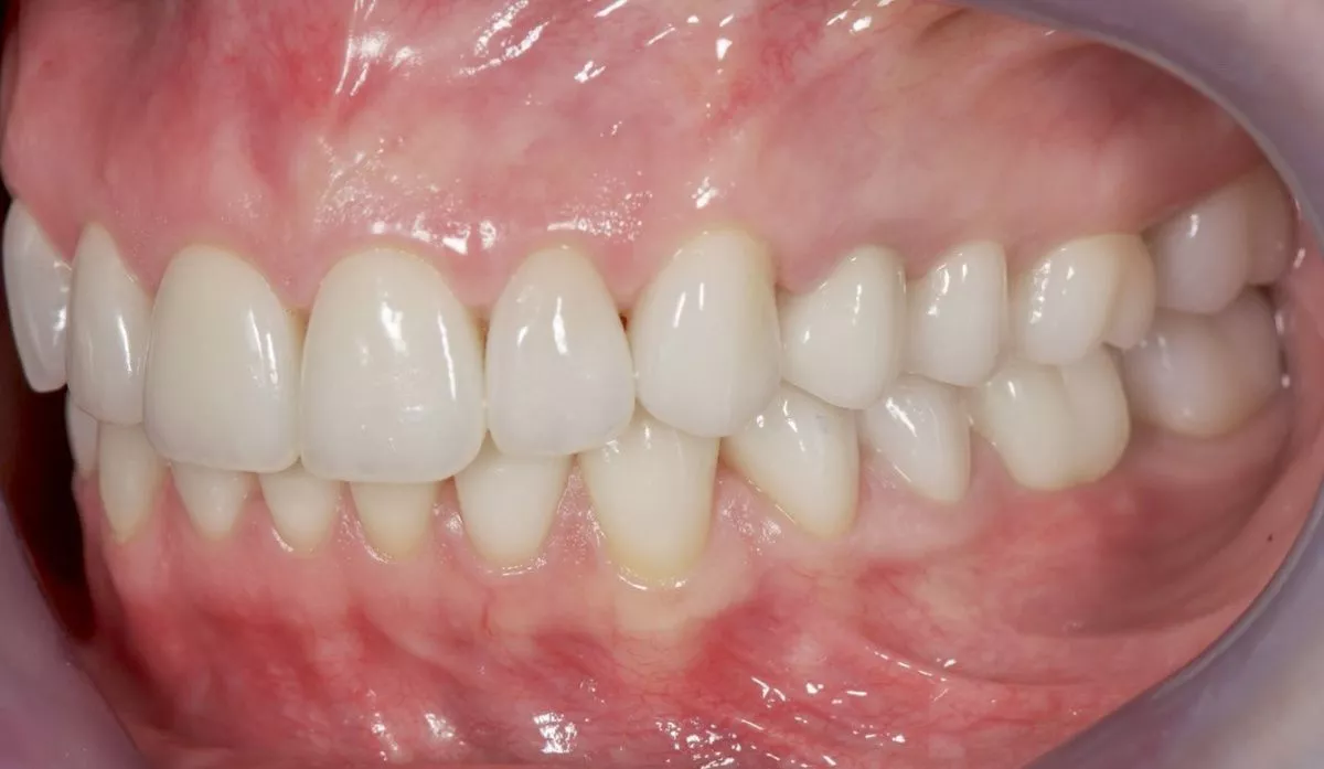
Где лучшая стоматология в Москве? Установка керамических виниров и коронок  - после процедуры
До После

Цены

Восстановление зуба коронкой временной технология CAD САМ / А16.07.004.007

9 900 ₽

Восстановление зуба коронкой временной технология CAD САМ (длительного ношения) / А16.07.004.008

20 900 ₽

Восстановление зуба коронкой временной технология CAD САМ ( 2 категории) / А16.07.004.009

66 000 ₽

Протезирование зуба с использованием имплантата балочной конструкцией на винтовой фиксации к имплантатам (1 неопорный зуб) / A16.07.006.011

14 300 ₽

Протезирование зуба с использованием имплантата балочной конструкцией на винтовой фиксации к имплантатам (1 опорный зуб) / A16.07.006.012

17 600 ₽

Протезирование зуба с использованием имплантата (изготовление индивидуального абатмента технология Cad Cam на титановом основании) / А16.07.006.012

20 900 ₽

Протезирование зуба с использованием имплантата временной коронкой технология Cad Cam / А16.07.006.010

22 000 ₽

Протезирование зуба с использованием имплантата коронкой постоянной безметалловой цельнокерамической с винтовой фиксацией технология Cad Сam / А16.07.006.011

71 500 ₽

Восстановление зуба вкладками, виниром, полукоронкой керамической с использованием технологии Cad Cam (1 категория сложности) / A16.07.003.004

71 500 ₽

Восстановление зуба вкладками, виниром, полукоронкой циркониевой с использованием технологии Cad Cam (1 категория сложности) / A16.07.003.005

71 500 ₽

Восстановление зуба вкладками, виниром, полукоронкой циркониевой с использованием технологии Cad Cam (2 категория сложности) / A16.07.003.006

82 500 ₽

Восстановление зуба вкладками, виниром, полукоронкой циркониевой с использованием технологии Cad Cam (3 категория сложности) / A16.07.003.007

93 500 ₽

Восстановление зуба коронкой циркониевой с использованием технологии Cad Cam (1 категория сложности) / A16.07.004.007

71 500 ₽

Восстановление зуба коронкой с использованием технологии Cad Cam (2 категория сложности) / A16.07.004.008

82 500 ₽

Восстановление зуба коронкой с использованием технологии Cad Cam (3 категория сложности) / A16.07.004.009

93 500 ₽

Восстановление зуба вкладками, виниром, полукоронкой циркониевой с использованием технологии Cad Cam (4 категория сложности) / A16.07.003.008

110 000 ₽

Восстановление зуба коронкой с использованием технологии Cad Cam (4 категория сложности) / A16.07.004.010

110 000 ₽

Восстановление зуба коронкой пластмассовой (временная, прямой метод - 1 единица) / А16.07.004.002

12 100 ₽

Восстановление зуба коронкой временной с повышенными эстетическими показателями (лабораторным методом) / А16.07.004.003

35 200 ₽

Восстановление целостности зубного ряда несъёмными мостовидными протезами (временной конструкцией Мерилэнд 1 единица) / A16.07.005

27 500 ₽

Протезирование зуба с использованием имплантата (временный абатмент без коронки, 1 ед) / A16.07.006.001

16 500 ₽

Протезирование зуба с использованием имплантата (индивидуальный абатмент с повышенными этетическими требованиями без коронки, 1 ед) / A16.07.006.002

49 500 ₽

Протезирование зуба с использованием имплантата коронкой постоянной металлокерамической с винтовой фиксацией / А16.07.006.004

49 500 ₽

Протезирование зуба с использованием имплантата коронкой постоянной металлокерамической с повышенными эстетическими показателями / А16.07.006.005

66 000 ₽

Протезирование зубов полными съемными пластиночными протезами (1 челюсть с опорой на имплантаты, постоянное протезирование. 1 категория сложности ) / А16.07.023.002

385 000 ₽

Протезирование зубов полными съемными пластиночными протезами (1 челюсть с опорой на имплантаты, постоянное протезирование. 2 категория сложности ) / А16.07.023.003

495 000 ₽

Протезирование зубов полными съемными пластиночными протезами (1 челюсть с опорой на имплантаты, временная конструкция) / А16.07.023.001

209 000 ₽

Восстановление целостности зубного ряда съемными мостовидными протезами с телескопической фиксацией (опорная гальваническая коронка 1 единица) / А16.07.034.002

60 500 ₽

Восстановление целостности зубного ряда съемными мостовидными протезами с телескопической фиксацией (опорная коронка 1 единица) / А16.07.034.001

78 000 ₽

Коррекция прикуса с использованием съёмных и несъёмных ортопедических конструкций (замена гарнитурных зубов в условно-съемных конструкциях) / А16.07.021.001

137 500 ₽

Постоянное шинирование цельнолитыми съемными конструкциями при заболеваниях пародонта (шинирующий бюгель на 1 челюсть) / А16.07.037.001

200 000 ₽

Починка перелома базиса самотвердеющей пластмассой / А23.07.002.037

14 300 ₽

Протезирование зубов полными съемными пластиночными протезами (1 челюсть) / А16.07.023.001

160 000 ₽

Протезирование съемными бюгельными протезами с замковой фиксацией (1 челюсть) / А16.07.035.004

253 000 ₽

Протезирование съемными бюгельными протезами с кламмерной фиксацией (1 челюсть) / А16.07.035.003

150 000 ₽

Протезирование частично съемным протезом (1-3 зуба) / А16.07.035.009

52 000 ₽

Протезирование частичными съемными пластиночными протезами с кламмерной фиксацией (1 челюсть) / А16.07.035.002

49 500 ₽

Приварка зуба к съемномку протезу / A23.07.002.036

6 000 ₽

Коррекция прикуса с использованием съёмных и несъёмных ортопедических конструкций (адгезивная фиксация несъемных ортопедических конструкций; 1 единица / А16.07.021.002

3 960 ₽

Протезирование частичными съёмными пластиночными протезами (изготовление мягкой прокладки) / А16.07.035.012

5 500 ₽

Починка перелома базиса съемного протеза самотвердеющей пластмассой (перебазировка съемного протеза прямым методом) / A23.30.050.001

4 400 ₽

Повторная фиксация на временный цемент несъемных ортопедических конструкций (1 единица) / А16.07.049.001

550 ₽

Повторная фиксация на постоянный цемент несъемных ортопедических конструкций (1 единица) / А16.07.049.002

1 100 ₽

Снятие несъемной ортопедической конструкции постоянной (1 единица) / А16.07.053.010

1 100 ₽

Снятие ортопедической конструкции с адгезивной фиксацией / А16.07.053.011

3 300 ₽

Замена матрицы ( коррекция съемной ортопедической конструкции) / A23.30.050.001.001

15 400 ₽

Снятие несъемной ортопедической конструкции постоянной с помощью лазера (1 единица) / А16.07.053.014

5 000 ₽

Восстановление зуба вкладками, виниром, полукоронкой ( керамическая реставрация 1 категории сложности) / А16.07.003.001

85 000 ₽

Восстановление зуба вкладками, виниром, полукоронкой ( керамическая реставрация 2 категории сложности) / A16.07.003.002

110 000 ₽

Восстановление зуба вкладками, виниром, полукоронкой ( керамическая реставрация 3 категории сложности) / A16.07.003.003

132 000 ₽

Восстановление зуба коронкой ( керамическая реставрация 1 категории сложности) / A16.07.004.004

93 500 ₽

Восстановление зуба коронкой ( керамическая реставрация 2 категории сложности) / A16.07.004.005

110 000 ₽

Восстановление зуба коронкой ( керамическая реставрация 3 категории сложности) / A16.07.004.006

132 000 ₽

Восстановление зуба вкладками, виниром, полукоронкой ( керамическая лабораторная вкладка/накладка - 1 поверхность) / А16.07.003.004

71 500 ₽

Восстановление зуба вкладками, виниром, полукоронкой ( керамическая реставрация 4 категории сложности) / A16.07.003.004

140 000 ₽

Восстановление зуба коронкой ( керамическая реставрация 4 категории сложности) / A16.07.004.008

140 000 ₽

Исследование на диагностических моделях челюстей (Wax-up-шаблон 1 зуба; 1 категория сложности) / А02.07.010.110

7 700 ₽

Исследование на диагностических моделях челюстей (Wax-up-шаблон 1 зуба; 2 категория сложности) / А02.07.010.111

12 000 ₽

Исследование на диагностических моделях челюстей (восковое моделировкой (Wax-Up) с целью планирования, эстетики и функции по Славичеку, (1 единица)) / A02.07.010.001

2 750 ₽

Коррекция прикуса с использованием съемных и несъемных ортопедических конструкций (шинотерапия, в том числе с целью диагностики ) / A16.07.021.001

44 550 ₽

Коррекция прикуса с использованием съемных и несъемных ортопедических конструкций (шинотерапия с использованием сэндвич шины) / A16.07.021.002

58 300 ₽

Коррекция съемной ортопедической конструкции (коррекция шины) / A23.30.050.001

3 300 ₽

Протезирование зуба с использованием имплантата (индивидуальный абатмент циркониевый без коронки, 1 ед) / A16.07.006.003

38 500 ₽

Протезирование зуба с использованием имплантата (стандартный абатмент прямой без коронки, 1 ед) / A16.07.006.004

27 500 ₽

Протезирование зуба с использованием имплантата (установка временной коронки) / A16.07.006.005

22 000 ₽

Протезирование зуба с использованием имплантата (установка временной коронки с повышенными эстетическими показателями) / A16.07.006.006

33 000 ₽

Протезирование зуба с использованием имплантата (установка коронки (1 категория сложности)) / A16.07.006.007

93 500 ₽

Протезирование зуба с использованием имплантата (установка коронки (2 категория сложности)) / A16.07.006.008

115 500 ₽

Протезирование зуба с использованием имплантата (установка коронки (3 категория сложности)) / A16.07.006.009

140 000 ₽

Протезирование зуба с использованием имплантата (извлечение обломка винта из имплантанта) / A16.07.006.010

11 000 ₽

Перебазировка съемного протеза лабораторным методом (починка сьемного протеза) / А23.07.002.034

18 000 ₽

Восстановление зуба временной коронкой (лабораторным методом) / А16.07.004.001

14 900 ₽

Записаться
на прием

Юлдашев Комил Сайранович

Портфолио

Назад в работы