Лучшая частная
стоматология России 2025
в рейтинге Startsmile Top
при информационной
поддержке Forbes
ВЕРСИЯ ДЛЯ СЛАБОВИДЯЩИХ +7 (495) 150-00-50

Сааков
Ленар
Гарриевич

Сааков Ленар Гарриевич

Премии

"Лучший ортопед 2025" в рейтинге Startsmile при поддержке Forbes

"Лучший ортопед 2025" в рейтинге Startsmile при поддержке Forbes

Информация

Специализация:

Ортопедия

Опыт работы:

Более 24 лет

Образование:

2001г. — Московский государственный медико-стоматологический университет, программа высшего образования, специальность «Стоматология», квалификация «Врач-стоматолог»

2003г. — Московский государственный медико-стоматологический университет, программа клинической ординатуры, специальность «Стоматология ортопедическая»

2008г. — Федеральное бюджетное учреждение «Центральный научно-исследовательский институт стоматологии и челюстно-лицевой хирургии», программа повышения квалификации, специальность «Ортопедическая стоматология»

2014г. — Автономная некоммерческая организация дополнительного профессионального образования «Академия инновационной стоматологии», программа повышения квалификации с сертификацией, специальность «Стоматология ортопедическая»

2019г. — Автономная некоммерческая организация дополнительного профессионального образования «Академия инновационной стоматологии», программа повышения квалификации с сертификацией, специальность «Стоматология ортопедическая»

2024г. — ООО «Международный центр обучения и повышения квалификации», программа повышения квалификации, специальность «Стоматология ортопедическая»

2024г. — Федеральное государственное бюджетное образовательное учреждение дополнительного профессионального образования «Российская медицинская академия непрерывного профессионального образования» Министерства здравоохранения Российской Федерации, программа повторной специализированной аккредитации, специальность «Стоматология ортопедическая»

Информация:

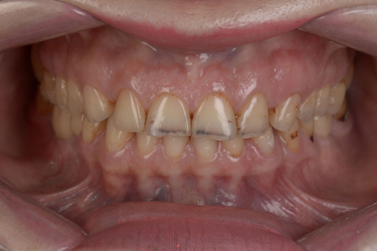
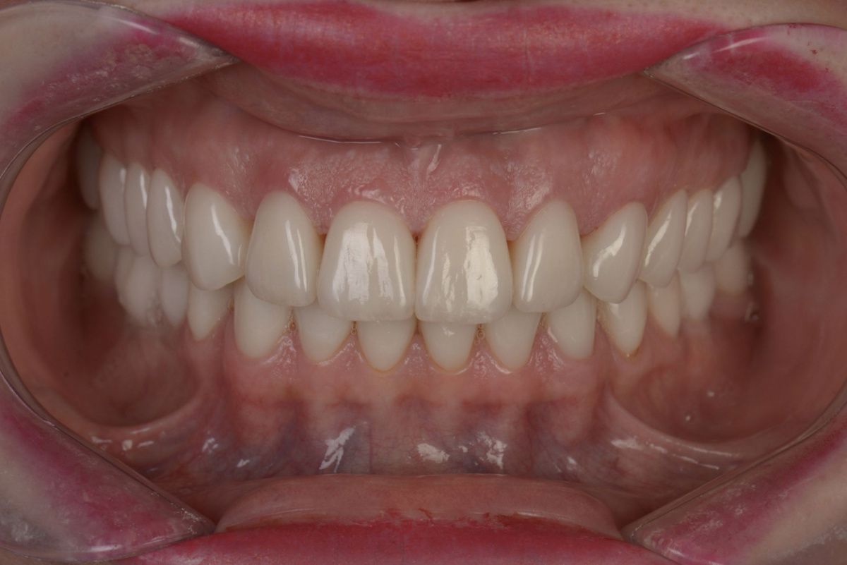
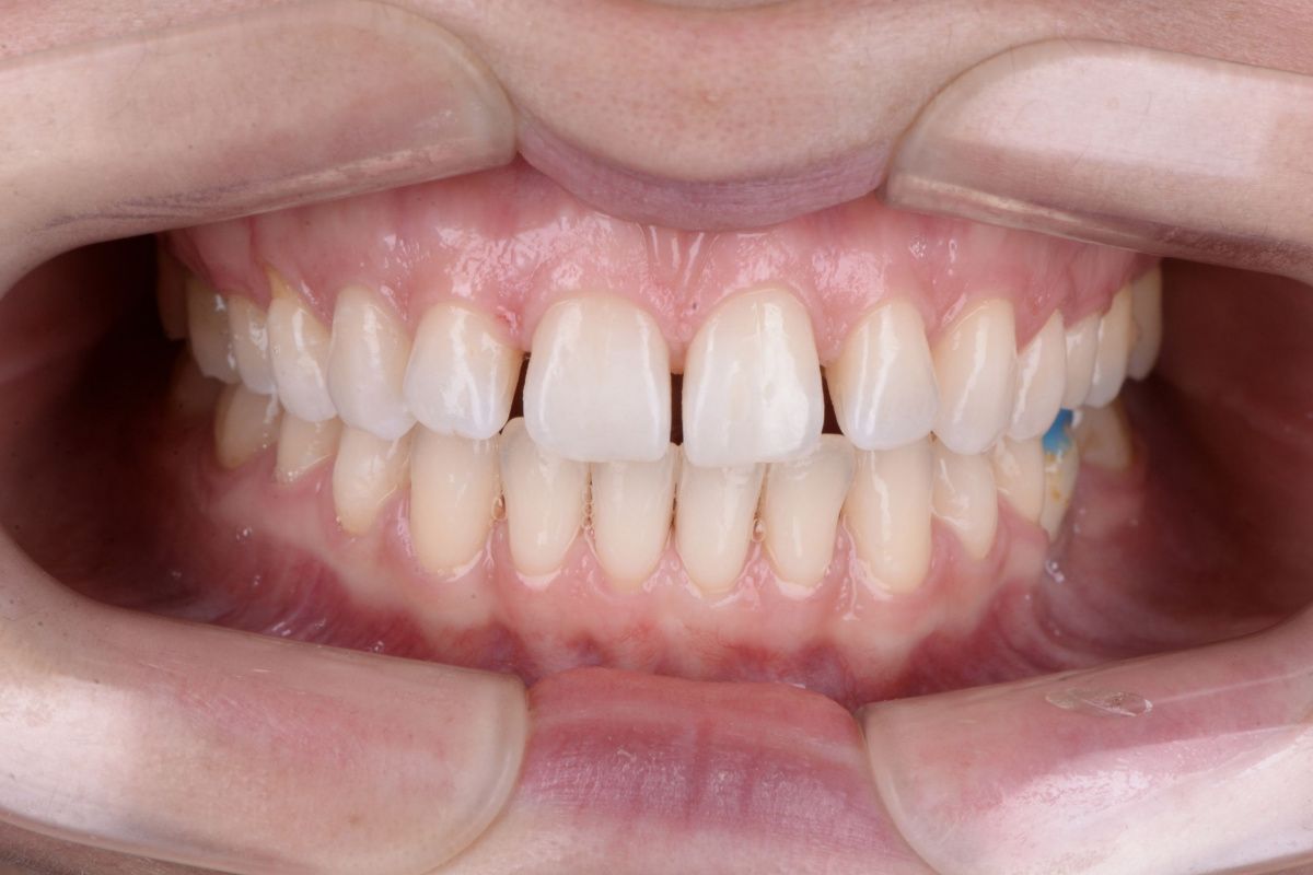
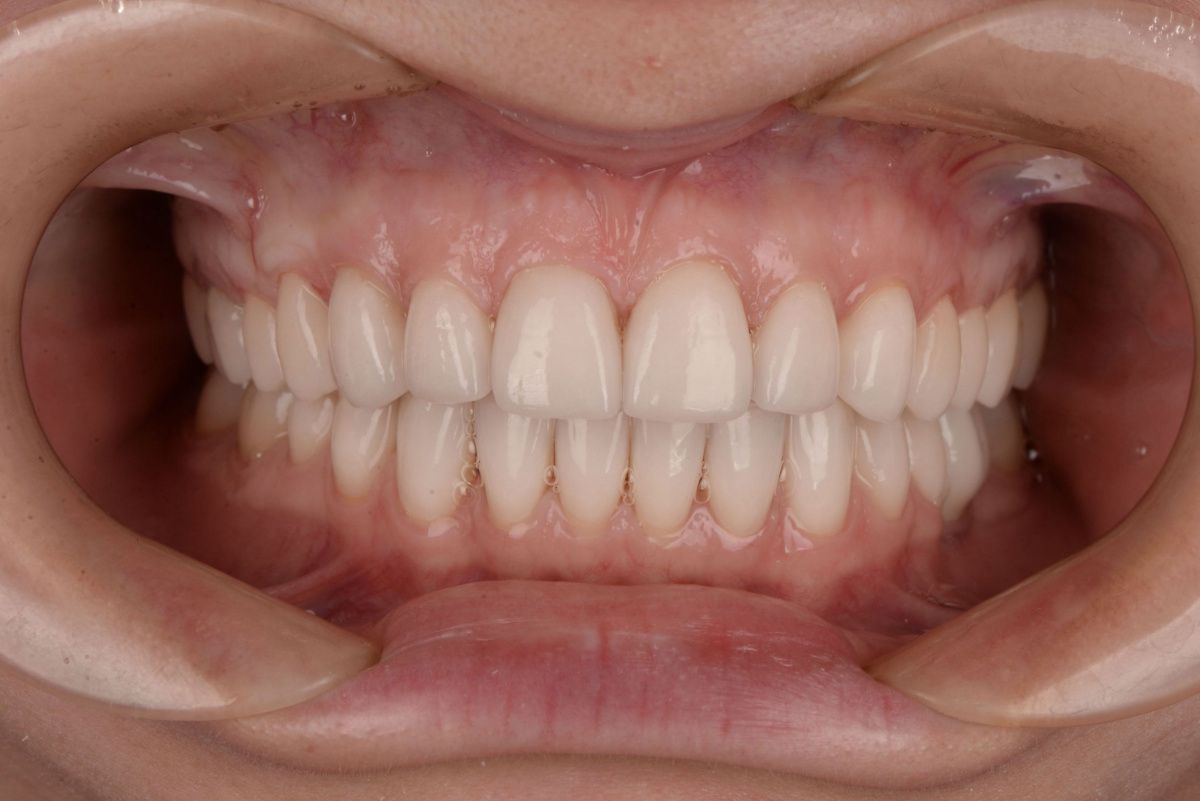
Ленар Гарриевич — врач ортопедической стоматологии. Врач занимается протезированием на имплантах, установкой безметалловых коронок всех типов, эстетической коррекцией улыбки керамическими и малоинвазивными винирами, съемным протезированием по технологии SAE и BPS.

Врач регулярно посещает обучающие курсы, проходит стажировки в крупных медицинских центрах Израиля, Германии, Италии и Испании.

Специалист является членом Российского Стоматологического Обществ. Стоматолог считает, что успешное восстановление зубов во многом зависит от комплексного подхода к проблеме, поэтому рассматривает все аспекты заболевания и возможные причины патологии. Многочисленные отзывы свидетельствуют о высоком уровне компетенций Ленара Гарриевича.

Услуги

Полезная информация


21 / 04 / 2023

Пациент +7-918-47×××××

Ленар Гарриевич Сааков — профессионал, чуткий и внимательный к пациенту врач! Винирам его работы второй год. Очень счастлива получившейся эстетике! Если виниры стоят выбором для пациента — рекомендую только этого доктора!
Читать полностью

18 / 04 / 2022

Сергей Гаврилов

Огромное спасибо доктору Саакову Л.Г. Как всегда, все грамотно, без задержек и очень профессионально! Спасибо Вам!
Читать полностью
Записаться
на прием