Лучшая частная
стоматология России 2025
в рейтинге Startsmile Top
при информационной
поддержке Forbes
ВЕРСИЯ ДЛЯ СЛАБОВИДЯЩИХ +7 (495) 150-00-50

Тотальная реабилитация - имплантация all-in-6 и замена керамических виниров и коронок

Премиум стоматологии Москва. Тотальная реабилитация - имплантация all-in-6 и замена керамических виниров и коронок

О работе

Тотальная реабилитация - имплантация all-in-6 и замена керамических виниров и коронок

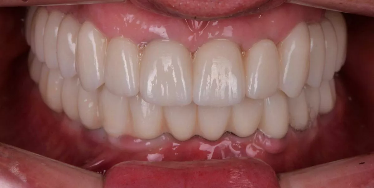
Результат

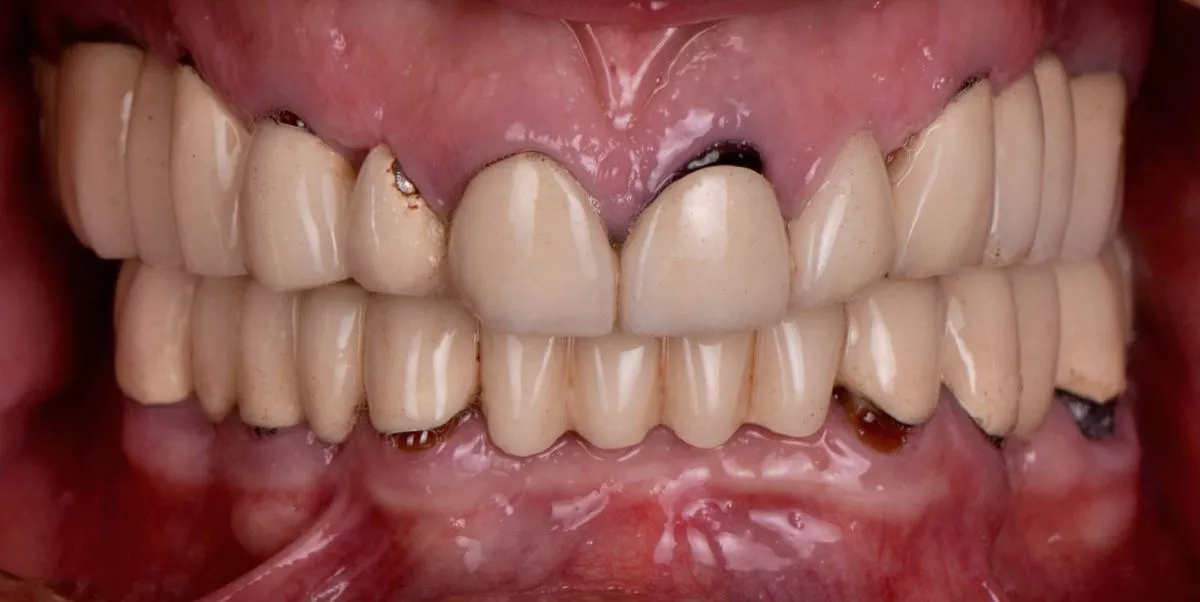
Премиум стоматологии Москва. Тотальная реабилитация - имплантация all-in-6 и замена керамических виниров и коронок - до процедуры
Премиум стоматологии Москва. Тотальная реабилитация - имплантация all-in-6 и замена керамических виниров и коронок - после процедуры
До После

Цены

Удаление дентального имплантанта (сложное) / A16.30.026.002

32 450 ₽

Внутрикостная дентальная имплантация ( с использованием компрессионной техники при установке имплантата) (повышенной сложности) / А16.07.054.005.002

31 490 ₽

Внутрикостная дентальная имплантация (использование хирургического шаблона (большой шаблон, включая диагностическое КТ) (повышенной сложности) / А16.07.054.006.001

57 150 ₽

Внутрикостная дентальная имплантация (использование хирургического шаблона (малый шаблон)) (повышенной сложности) / А16.07.054.007.001

21 430 ₽

Внутрикостная дентальная имплантация (фиксация абатмента (multi-unit)) (повышенной сложности) / А16.07.054.005.001

27 900 ₽

Внутрикостная дентальная имплантация ортодонтического винта (повышенной сложности) / А16.07.054.008.001

21 450 ₽

Внутрикостная дентальная имплантация подскулового ортодонтического винта (повышенной сложности) / А16.07.054.004.001

28 570 ₽

Внутрикостная дентальная имплантация с использованием навигационной хирургии (повышенной сложности) / А16.07.054.003.001

135 480 ₽

Внутрикостная дентальная имплантация системы «Дентиум» (Корея) (повышенной сложности) / А16.07.054.001.001

94 370 ₽

Внутрикостная дентальная имплантация системы «Скай» циркон (Германия) (повышенной сложности) / А16.07.054.007.003

128 560 ₽

Использование биопластического материала 0,5 г ( костная пластика челюстно-лицевой области) (повышенной сложности) / A16.07.041.001.001

23 590 ₽

Использование биопластического материала 1 г ( костная пластика челюстно-лицевой области) (повышенной сложности) / A16.07.041.001.009

31 450 ₽

Использование коллагеновой мембраны (костная пластика челюстно-лицевой области) (повышенной сложности) / A16.07.041.003.001

25 750 ₽

Использование костного скребка ( костная пластика челюстно-лицевой области) (повышенной сложности) / A16.07.041.004.001

18 940 ₽

Использование искусственного заменителя мягких тканей ( костная пластика челюстно-лицевой области) (повышенной сложности) / A16.30.058.015

35 710 ₽

Использование хирургических пин при фиксации мембраны ( костная пластика челюстно-лицевой области) (повышенной сложности) / A16.07.041.005.002

3 570 ₽

Использованием мембраны ( костная пластика челюстно-лицевой области) (повышенной сложности) / A16.07.041.005.004

31 490 ₽

Направленная костная регенерация в проекции нескольких зубов ( костная пластика челюстно-лицевой области) (повышенной сложности) / A16.07.041.009.001

125 747 ₽

Направленная костная регенерация в проекции одного зуба ( костная пластика челюстно-лицевой области) (повышенной сложности) / A16.07.041.008.003

78 564 ₽

Направленная костная регенерация индивидуальной титановой сеткой регенерация ( костная пластика челюстно-лицевой области) (повышенной сложности) / A16.07.041.009.003

238 076 ₽

Наращивание костной ткани техникой Кюри ( костная пластика челюстно-лицевой области) (повышенной сложности) / A16.07.041.010.001

103 888 ₽

Пластика мягких тканей (операция по закрытию рецессии мягких тканей в области одного имплантанта) (повышенной сложности) / A16.30.058.021

39 282 ₽

Пластика мягких тканей (прикрепленной слизистой в области одного имплантата) (повышенной сложности) / A16.30.058.024.001

14 284 ₽

Повторная коррекция прикрепленной слизистой в области одного имплантата ( пластика мягких тканей) (повышенной сложности) / A16.30.058.023.001

64 930 ₽

Расщепление альвеолярного гребня для установки имплантат (пластика альвеолярного отростка) (повышенной сложности) / А16.07.017.007.001

71 400 ₽

Реконструкция альвеолярного гребня путём пересадки костного трансплантата (Костная пластика челюстно-лицевой области) (повышенной сложности) / A16.07.041.011

117 850 ₽

Синус-лифтинг закрытый (повышенной сложности) / А16.07.055.001.001

62 870 ₽

Удаление ортодонтического имплантата (повышенной сложности) / A16.30.026.007

6 440 ₽

Установка формирователя десны ( внутрикостная дентальная имплантация) (повышенной сложности) / А16.07.054.009

12 560 ₽

Синус-лифтинг открытый (2 категории сложности) / А16.07.055.003

88 000 ₽

Синус-лифтинг открытый (3 категории сложности) / А16.07.055.004

128 000 ₽

Наращивание костной ткани техникой Кюри ( костная пластика челюстно-лицевой области) / A16.07.041.010

80 000 ₽

Направленная костная регенерация индивидуальной титановой сеткой регенерация ( костная пластика челюстно-лицевой области) / A16.07.041.009

200 000 ₽

Внутрикостная дентальная имплантация системы «Дентиум» (Корея) / А16.07.054.001

72 600 ₽

Внутрикостная дентальная имплантация системы «Нобель» (Швейцария), «Астра» (Швеция) или «Штрауман» (Швейцария) / А16.07.054.002

96 800 ₽

Внутрикостная дентальная имплантация с использованием навигационной хирургии / А16.07.054.003

104 500 ₽

Внутрикостная дентальная имплантация ортодонтического винта / А16.07.054.008

16 500 ₽

Внутрикостная дентальная имплантация подскулового ортодонтического винта / А16.07.054.004

22 000 ₽

Использование биопластического материала 0,5 г ( костная пластика челюстно-лицевой области) / A16.07.041.001

18 150 ₽

Использование биопластического материала 1 г ( костная пластика челюстно-лицевой области) / A16.07.041.002

24 200 ₽

Использование коллагеновой мембраны (костная пластика челюстно-лицевой области) / A16.07.041.003

19 800 ₽

Использование костного скребка ( костная пластика челюстно-лицевой области) / A16.07.041.004

14 520 ₽

Использование материала для регенерации тканей ( костная пластика челюстно-лицевой области) / A16.07.041.005

27 500 ₽

Использованием мембраны ( костная пластика челюстно-лицевой области) / A16.07.041.006

24 200 ₽

Использование хирургических пин при фиксации мембраны ( костная пластика челюстно-лицевой области) / A16.07.041.007

2 750 ₽

Внутрикостная дентальная имплантация (использование хирургического шаблона (большой шаблон, включая диагностическое КТ) / А16.07.054.006

44 000 ₽

Внутрикостная дентальная имплантация (использование хирургического шаблона (малый шаблон)) / А16.07.054.007.002

16 500 ₽

Внутрикостная дентальная имплантация ( с использованием компрессионной техники при установке имплантата) / А16.07.054.005

24 200 ₽

Направленная костная регенерация в проекции нескольких зубов ( костная пластика челюстно-лицевой области) / A16.07.041.009

96 800 ₽

Направленная костная регенерация в проекции одного зуба ( костная пластика челюстно-лицевой области) / A16.07.041.008

60 500 ₽

Пластика мягких тканей (операция по закрытию рецессии мягких тканей в области одного имплантанта) / A16.30.058.020

30 250 ₽

Пластика мягких тканей (прикрепленной слизистой в области одного имплантата) / A16.30.058.024

11 000 ₽

Реконструкция альвеолярного гребня путём пересадки костного трансплантата (Костная пластика челюстно-лицевой области) / A16.07.041.010

90 750 ₽

Синус-лифтинг закрытый / А16.07.055.001

48 400 ₽

Синус-лифтинг открытый (1 категории сложности) / А16.07.055.002

72 600 ₽

Удаление ортодонтического имплантата / A16.30.026.003

4 950 ₽

Удаление дентального имплантанта / A16.30.026.001

18 150 ₽

Установка формирователя десны ( внутрикостная дентальная имплантация) / А16.07.054.004

9 680 ₽

Внутрикостная дентальная имплантация (фиксация абатмента (multi-unit)) / А16.07.054.005

21 450 ₽

Расщепление альвеолярного гребня для установки имплантат (пластика альвеолярного отростка) / А16.07.017.007

55 000 ₽

Внутрикостная дентальная имплантация системы «Скай» циркон (Германия) / А16.07.054.007

99 000 ₽

Повторная коррекция прикрепленной слизистой в области одного имплантата ( пластика мягких тканей) / A16.30.058.023

50 000 ₽

Пластика мягких тканей с использованием коллагенового матрикса / А16.30.058.019

24 200 ₽

Внутрикостная дентальная имплантация системы «Нобель» (Швейцария), «Астра» (Швеция) или «Штрауман» (Швейцария) (повышенной сложности) / А16.07.054.002.001

125 750 ₽

Восстановление зуба коронкой временной технология CAD САМ / А16.07.004.007

9 900 ₽

Восстановление зуба коронкой временной технология CAD САМ (длительного ношения) / А16.07.004.008

20 900 ₽

Восстановление зуба коронкой временной технология CAD САМ ( 2 категории) / А16.07.004.009

66 000 ₽

Протезирование зуба с использованием имплантата балочной конструкцией на винтовой фиксации к имплантатам (1 неопорный зуб) / A16.07.006.011

14 300 ₽

Протезирование зуба с использованием имплантата балочной конструкцией на винтовой фиксации к имплантатам (1 опорный зуб) / A16.07.006.012

17 600 ₽

Протезирование зуба с использованием имплантата (изготовление индивидуального абатмента технология Cad Cam на титановом основании) / А16.07.006.012

20 900 ₽

Протезирование зуба с использованием имплантата временной коронкой технология Cad Cam / А16.07.006.010

22 000 ₽

Протезирование зуба с использованием имплантата коронкой постоянной безметалловой цельнокерамической с винтовой фиксацией технология Cad Сam / А16.07.006.011

71 500 ₽

Восстановление зуба вкладками, виниром, полукоронкой керамической с использованием технологии Cad Cam (1 категория сложности) / A16.07.003.004

71 500 ₽

Восстановление зуба вкладками, виниром, полукоронкой циркониевой с использованием технологии Cad Cam (1 категория сложности) / A16.07.003.005

71 500 ₽

Восстановление зуба вкладками, виниром, полукоронкой циркониевой с использованием технологии Cad Cam (2 категория сложности) / A16.07.003.006

82 500 ₽

Восстановление зуба вкладками, виниром, полукоронкой циркониевой с использованием технологии Cad Cam (3 категория сложности) / A16.07.003.007

93 500 ₽

Восстановление зуба коронкой циркониевой с использованием технологии Cad Cam (1 категория сложности) / A16.07.004.007

71 500 ₽

Восстановление зуба коронкой с использованием технологии Cad Cam (2 категория сложности) / A16.07.004.008

82 500 ₽

Восстановление зуба коронкой с использованием технологии Cad Cam (3 категория сложности) / A16.07.004.009

93 500 ₽

Восстановление зуба вкладками, виниром, полукоронкой циркониевой с использованием технологии Cad Cam (4 категория сложности) / A16.07.003.008

110 000 ₽

Восстановление зуба коронкой с использованием технологии Cad Cam (4 категория сложности) / A16.07.004.010

110 000 ₽

Восстановление зуба коронкой пластмассовой (временная, прямой метод - 1 единица) / А16.07.004.002

12 100 ₽

Восстановление зуба коронкой временной с повышенными эстетическими показателями (лабораторным методом) / А16.07.004.003

35 200 ₽

Восстановление целостности зубного ряда несъёмными мостовидными протезами (временной конструкцией Мерилэнд 1 единица) / A16.07.005

27 500 ₽

Протезирование зуба с использованием имплантата (временный абатмент без коронки, 1 ед) / A16.07.006.001

16 500 ₽

Протезирование зуба с использованием имплантата (индивидуальный абатмент с повышенными этетическими требованиями без коронки, 1 ед) / A16.07.006.002

49 500 ₽

Протезирование зуба с использованием имплантата коронкой постоянной металлокерамической с винтовой фиксацией / А16.07.006.004

49 500 ₽

Протезирование зуба с использованием имплантата коронкой постоянной металлокерамической с повышенными эстетическими показателями / А16.07.006.005

66 000 ₽

Протезирование зубов полными съемными пластиночными протезами (1 челюсть с опорой на имплантаты, постоянное протезирование. 1 категория сложности ) / А16.07.023.002

385 000 ₽

Протезирование зубов полными съемными пластиночными протезами (1 челюсть с опорой на имплантаты, постоянное протезирование. 2 категория сложности ) / А16.07.023.003

495 000 ₽

Протезирование зубов полными съемными пластиночными протезами (1 челюсть с опорой на имплантаты, временная конструкция) / А16.07.023.001

209 000 ₽

Восстановление целостности зубного ряда съемными мостовидными протезами с телескопической фиксацией (опорная гальваническая коронка 1 единица) / А16.07.034.002

60 500 ₽

Восстановление целостности зубного ряда съемными мостовидными протезами с телескопической фиксацией (опорная коронка 1 единица) / А16.07.034.001

78 000 ₽

Коррекция прикуса с использованием съёмных и несъёмных ортопедических конструкций (замена гарнитурных зубов в условно-съемных конструкциях) / А16.07.021.001

137 500 ₽

Постоянное шинирование цельнолитыми съемными конструкциями при заболеваниях пародонта (шинирующий бюгель на 1 челюсть) / А16.07.037.001

200 000 ₽

Починка перелома базиса самотвердеющей пластмассой / А23.07.002.037

14 300 ₽

Протезирование зубов полными съемными пластиночными протезами (1 челюсть) / А16.07.023.001

160 000 ₽

Протезирование съемными бюгельными протезами с замковой фиксацией (1 челюсть) / А16.07.035.004

253 000 ₽

Протезирование съемными бюгельными протезами с кламмерной фиксацией (1 челюсть) / А16.07.035.003

150 000 ₽

Протезирование частично съемным протезом (1-3 зуба) / А16.07.035.009

52 000 ₽

Протезирование частичными съемными пластиночными протезами с кламмерной фиксацией (1 челюсть) / А16.07.035.002

49 500 ₽

Приварка зуба к съемномку протезу / A23.07.002.036

6 000 ₽

Коррекция прикуса с использованием съёмных и несъёмных ортопедических конструкций (адгезивная фиксация несъемных ортопедических конструкций; 1 единица / А16.07.021.002

3 960 ₽

Протезирование частичными съёмными пластиночными протезами (изготовление мягкой прокладки) / А16.07.035.012

5 500 ₽

Починка перелома базиса съемного протеза самотвердеющей пластмассой (перебазировка съемного протеза прямым методом) / A23.30.050.001

4 400 ₽

Повторная фиксация на временный цемент несъемных ортопедических конструкций (1 единица) / А16.07.049.001

550 ₽

Повторная фиксация на постоянный цемент несъемных ортопедических конструкций (1 единица) / А16.07.049.002

1 100 ₽

Снятие несъемной ортопедической конструкции постоянной (1 единица) / А16.07.053.010

1 100 ₽

Снятие ортопедической конструкции с адгезивной фиксацией / А16.07.053.011

3 300 ₽

Замена матрицы ( коррекция съемной ортопедической конструкции) / A23.30.050.001.001

15 400 ₽

Снятие несъемной ортопедической конструкции постоянной с помощью лазера (1 единица) / А16.07.053.014

5 000 ₽

Восстановление зуба вкладками, виниром, полукоронкой ( керамическая реставрация 1 категории сложности) / А16.07.003.001

85 000 ₽

Восстановление зуба вкладками, виниром, полукоронкой ( керамическая реставрация 2 категории сложности) / A16.07.003.002

110 000 ₽

Восстановление зуба вкладками, виниром, полукоронкой ( керамическая реставрация 3 категории сложности) / A16.07.003.003

132 000 ₽

Восстановление зуба коронкой ( керамическая реставрация 1 категории сложности) / A16.07.004.004

93 500 ₽

Восстановление зуба коронкой ( керамическая реставрация 2 категории сложности) / A16.07.004.005

110 000 ₽

Восстановление зуба коронкой ( керамическая реставрация 3 категории сложности) / A16.07.004.006

132 000 ₽

Восстановление зуба вкладками, виниром, полукоронкой ( керамическая лабораторная вкладка/накладка - 1 поверхность) / А16.07.003.004

71 500 ₽

Восстановление зуба вкладками, виниром, полукоронкой ( керамическая реставрация 4 категории сложности) / A16.07.003.004

140 000 ₽

Восстановление зуба коронкой ( керамическая реставрация 4 категории сложности) / A16.07.004.008

140 000 ₽

Исследование на диагностических моделях челюстей (Wax-up-шаблон 1 зуба; 1 категория сложности) / А02.07.010.110

7 700 ₽

Исследование на диагностических моделях челюстей (Wax-up-шаблон 1 зуба; 2 категория сложности) / А02.07.010.111

12 000 ₽

Исследование на диагностических моделях челюстей (восковое моделировкой (Wax-Up) с целью планирования, эстетики и функции по Славичеку, (1 единица)) / A02.07.010.001

2 750 ₽

Коррекция прикуса с использованием съемных и несъемных ортопедических конструкций (шинотерапия, в том числе с целью диагностики ) / A16.07.021.001

44 550 ₽

Коррекция прикуса с использованием съемных и несъемных ортопедических конструкций (шинотерапия с использованием сэндвич шины) / A16.07.021.002

58 300 ₽

Коррекция съемной ортопедической конструкции (коррекция шины) / A23.30.050.001

3 300 ₽

Протезирование зуба с использованием имплантата (индивидуальный абатмент циркониевый без коронки, 1 ед) / A16.07.006.003

38 500 ₽

Протезирование зуба с использованием имплантата (стандартный абатмент прямой без коронки, 1 ед) / A16.07.006.004

27 500 ₽

Протезирование зуба с использованием имплантата (установка временной коронки) / A16.07.006.005

22 000 ₽

Протезирование зуба с использованием имплантата (установка временной коронки с повышенными эстетическими показателями) / A16.07.006.006

33 000 ₽

Протезирование зуба с использованием имплантата (установка коронки (1 категория сложности)) / A16.07.006.007

93 500 ₽

Протезирование зуба с использованием имплантата (установка коронки (2 категория сложности)) / A16.07.006.008

115 500 ₽

Протезирование зуба с использованием имплантата (установка коронки (3 категория сложности)) / A16.07.006.009

140 000 ₽

Протезирование зуба с использованием имплантата (извлечение обломка винта из имплантанта) / A16.07.006.010

11 000 ₽

Перебазировка съемного протеза лабораторным методом (починка сьемного протеза) / А23.07.002.034

18 000 ₽

Восстановление зуба временной коронкой (лабораторным методом) / А16.07.004.001

14 900 ₽

Записаться
на прием

Сааков Ленар Гарриевич

Портфолио

Назад в работы