Лучшая частная
стоматология России 2025
в рейтинге Startsmile Top
при информационной
поддержке Forbes
ВЕРСИЯ ДЛЯ СЛАБОВИДЯЩИХ +7 (495) 150-00-50

Чегодаева
Алиса
Дмитриевна

Чегодаева Алиса Дмитриевна

Информация

Специализация:

Терапия

Опыт работы:

Более 12 лет

Образование:

2013г. — Государственное бюджетное образовательное учреждение высшего профессионального образования «Новосибирский государственный медицинский университет» Министерства здравоохранения Российской Федерации, программа высшего образования, специальность «Стоматология», квалификация «Врач-стоматолог»

2014г. — Государственное бюджетное образовательное учреждение высшего профессионального образования «Новосибирский государственный медицинский университет» Министерства здравоохранения Российской Федерации, программа клинической интернатуры с сертификацией, специальность «Стоматология», квалификация «Врач (провизор)»

2017г. — Новокузнецкий государственный институт усовершенствования врачей — филиал федерального государственного бюджетного образовательного учреждения дополнительного профессионального образования «Российская медицинская академия непрерывного профессионального образования» Министерства здравоохранения Российской Федерации, программа профессиональной переподготовки с сертификацией, специальность «Стоматология терапевтическая»

2019г. — Общество с ограниченной ответственностью «Центр специализированного образования «Проф-ресурс», программа профессиональной переподготовки с сертификацией «Стоматология ортопедическая»

2019г. — Автономная некоммерческая организация дополнительного профессионального образования «Группа компаний ПРОФИ», программа профессиональной переподготовки с сертификацией, специальность «Стоматология детская»

2020г. — Общество с ограниченной ответственностью «Центр специализированного образования «Проф-ресурс», программа повышения квалификации с сертификацией «Стоматология терапевтическая»

2024г. — ООО «Международный центр обучения и повышения квалификации», программа повышения квалификации, специальность «Стоматология детская»

2024г. — Федеральное государственное бюджетное образовательное учреждение дополнительного профессионального образования «Российская медицинская академия непрерывного профессионального образования» Министерства здравоохранения Российской Федерации, программа повторной специализированной аккредитации, специальность «Стоматология детская»

Информация:

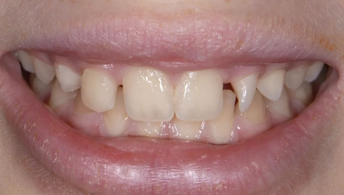
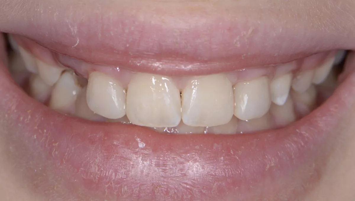
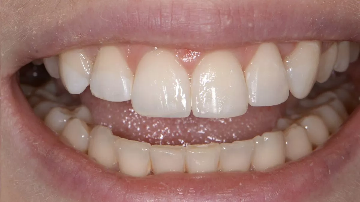
Алиса Дмитриевна — врач терапевтической стоматологии. В совершенстве владеет навыками эстетической реабилитации зубов. Она занимается прямыми и непрямыми реставрациями передних и жевательных зубов. Доктор тепло относится к своим пациентом, с каждым выстраивает доверительные отношения, дает развернутые ответы на интересующие вопросы. Проводит диагностику, составляет планы лечения и программы профилактики кариеса, подбирает средства индивидуальной гигиены.

Является действующим преподавателем «Zenit President Dental», действующим членом Европейсклй ассоциации StyleItaliano Opinion leader компании Philips (ZOOM)

Полезная информация


02 / 04 / 2026

Отзыв от Larisa Shablya

В очередной раз проходила лечение у Алисы  Дмитриевны , которой ассистировала медсестра Алина. Выражаю огромную благодарность за их профессионализм и умение общаться с пациентами. Можно наговорить море прекрасных эпитетов в их адрес, но для меня важнейшим условием посещения того или ино...
Читать полностью

17 / 07 / 2025

Пациент +7 918 13ХХХХХ

Алиса Дмитриевна - это любовь с первого взгляда. Настолько внимательный и аккуратный врач, я просто до сих пор не верю в то, что я смогла найти своего врача. Врач мне провел полную санацию полости рта, со всеми рекомендациями, составила финансовый план лечения и далее я пришла на прием. Врач пров...
Читать полностью

17 / 07 / 2025

Пациент +7 926 82ХХХХХ

Я сегодня впервые посетила этого специалиста, мне необходима была консультация стоматолога, мне показалось, что у меня выпала пломба. Специалист на приеме была вежлива со мной, был проведён опрос по моему состоянию, был проведен аккуратный осмотр. Алиса Дмитриевна дала мне рекомендации по домашне...
Читать полностью

17 / 07 / 2025

Пациент +7 985 77ХХХХХ

Я в течение полугода обращаюсь к этому специалисту для лечения кариеса​ во время ортодонтического лечения, во время ношения брекетов возник внутренний скрытый кариес. Доктор на приемах никуда не спешит и проводит аккуратное течении под микроскопом, все проходит безболезненно, с использованием ане...
Читать полностью

17 / 07 / 2025

Пациент +7 903 78ХХХХХ

Я сегодня второй раз обратилась к этому специалисту для лечения кариеса​, Алису Дмитриевну мне порекомендовал ее коллега-стоматолог. Приемы и лечение у этого специалиста проходят для меня комфортно и безболезненно, насколько это возможно, используется анестезия​. Во время своей работы доктор инте...
Читать полностью

17 / 07 / 2025

Пациент +7 916 07ХХХХХ

Я посещаю этого специалиста несколько лет для лечения кариеса​, я работаю с Алисой Дмитриевной в одной клинике, поэтому сомнений в выборе грамотного стоматолога не имела, она моя коллега. Лечение у этого врача проходит для меня комфортно, мне все очень нравится - безболезненно, аккуратно, с внима...
Читать полностью

25 / 09 / 2024

Екатерина Серова

Клиника Инвайт медикал - отличное место! Огромное спасибо врачам Стрельниковой С. А. и Чегодаевой А.Д. Ходить к ним - одно удовольствие Сколько профессионализма и терпения, пытливого ума и внимания они проявляют к пациентам - дорогого стоит Замечательные администраторы, ассистенты - персонал клин...
Читать полностью
Записаться
на прием