
Восстановление зубов коронками
Направления лечения
Об услуге
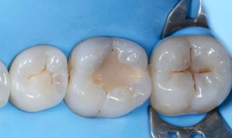
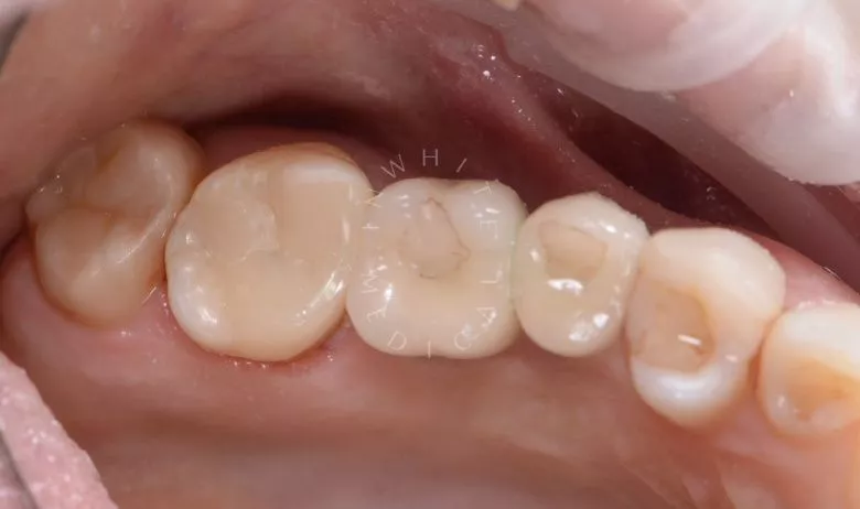
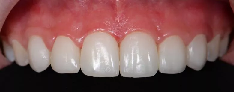
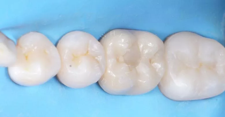
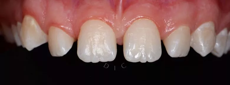
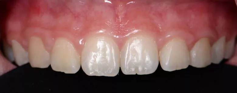
Восстановление зуба коронкой, которая представляет собой ортопедическую конструкцию в формате колпачка, — эффективный метод несъемного протезирования. Он применяется для реставрации разрушенных единиц как во фронтальной, так и в боковых зонах челюсти, и хорошо зарекомендовал себя при лечении пациентов различного возраста. Коронка реалистично имитирует зуб (форма, размер, цвет), ее можно поставить как на зуб, так и на титановый имплантат. Выбор материала для изготовления коронки зависит от местоположения дефекта во рту, пожеланий пациента в плане эстетики и имеющегося бюджета.
Протезирование коронками актуально, если:
- коронковая часть зуба разрушена на 50 из-за кариозного поражения или травмы, а корень цел и здоров — в этом случае требуется восстановление и эстетики зубного ряда, и функционала зубочелюстной системы в целом;
- отсутствует 1 или 2 зуба подряд;
- диагностировано необратимое изменение цвета эмали (пожелтение, потемнение) — протезирование показано, если другие методы не дали результата;
- на эмали есть сколы и трещины — при такой клинической картине коронка призвана предотвратить дальнейшее разрушение тканей и может быть установлена без депульпирования (на живой зуб);
- присутствуют аномалии формы или структуры зуба — коронкой можно скорректировать незначительные ортодонтические патологии;
- коронковая часть зуба сильно разрушена — такое бывает при повышенной стираемости тканей;
- замещение дефекта при помощи имплантата — имплантационная технология позволяет восстановить отсутствующий зуб, не затрагивая соседние здоровые.
Что же касается противопоказаний для этого вида протезирования, то в списке основных:
- повреждение или киста корня;
- патологическая подвижность зубов, вызванная заболеваниями пародонта;
- аллергия на применяемые при лечении анестетики.
Противопоказания выявляются на стадии подготовки к ортопедическому лечению, что позволяет минимизировать риски.
На сегодняшний день в стоматологических клиниках используется следующие методы восстановления зубов коронками:
- с установкой на зуб — в этом случае проводится депульпирование (но в некоторых случаях можно не удалять нерв!) и препарирование разрушенного зуба с формированием культи, на которую потом будет установлена коронка, а при значительном повреждении тканей может использоваться культевая вкладка;
- с фиксацией на имплантат — такой протокол предполагает вживление в челюстную кость имплантационной системы (имплантация может быть классической двухэтапной, одноэтапной, экспресс) с последующей установкой на имплантат индивидуальной коронки.
И в том, и в другом случае применяются ортопедические конструкции из:
- металлокерамики — предполагают наличие металлического каркаса и керамической декоративной облицовки, демонстрируют повышенную механическую прочность, могут эксплуатироваться до 15 лет;
- керамики — безметалловые конструкции, не вызывают аллергии, отличаются улучшенной эстетикой, актуальны при восстановлении резцов, служат порядка 20 лет;
- диоксида циркония — биологически совместимые безметалловые изделия, впечатляющие максимальной надежностью, способны обеспечить необходимую эстетику фронтальным зубам и реализовать функционал моляров, но стоят дороже моделей из других материалов.
А выбор материала осуществляется индивидуально на этапе подготовки к протезированию.
В Inwhite Medical восстановление зубов с помощью коронок выполняется по всем актуальным протоколам, включая имплантацию. На консультативном приеме врач проведет осмотр, назначит обследования, а после изучения его результатов оценит перспективы применения разных технологий и методов, согласует с пациентом оптимальный вариант реставрации и составит план лечения. В процессе протезирования коронками мы:
- Выполняем полный спектр мероприятий и манипуляций — обследование, профессиональная чистка, замена старых пломб, устранение кариеса, купирование воспалительного процесса (проводится по показаниям), снятие слепков, моделирование, изготовление, примерка, подгонка и установка коронки.
- Обеспечиваем безопасность ортопедического лечения с тщательным подбором материалов и анестетиков.
- Даем гарантию на все работы и материалы, выполненные и использованные в рамках протезирования.
- Обучаем уходу за установленными ортопедическими конструкциями.
- Организовываем плановые профилактические осмотры — они необходимы для контроля за состоянием коронки и полости рта в целом.
Комплексный подход и протезирование под ключ дает пациентам возможность получить желаемый результат с гарантией качества.
В нашей стоматологической клинике работают опытные врачи-стоматологи, применяются передовые технологии протезирования и высокотехнологичное оборудование, так что ортопедическое лечение пройдет:
- максимально комфортно и безболезненно — при выполнении необходимых манипуляций используется эффективная и безопасная местная анестезия или седация;
- в сжатые сроки — это особенно важно, если восстанавливается передний зуб;
- с гарантией — гарантийные обязательства клиники прописываются в договоре.
О сроках службы и времени плановой замены коронки из выбранного материала врач предупредит пациента заранее.
Стоимость восстановления зуба коронкой зависит от материала, из которого будет изготовлено изделие, и необходимости проведения дополнительных мероприятий (профессиональная гигиена, лечение кариеса и т.д.). Узнать цены на протезирование в нашей стоматологической клинике можно, изучив прайс на сайте. Установка коронки — это возможность восстановить разрушенный зуб с минимальными затратами, сохранив родной корень. Запишитесь на консультацию в Inwhite Medical, и мы поможем вам вернуть красоту улыбки и сохранить привычный образ жизни. Получить полную информацию об услугах и ценах на восстановление зубов коронками можно у администраторов клиники.
Записаться
на прием











