Лазерное отбеливание зубов

О работе
Лазерное отбеливание зубов
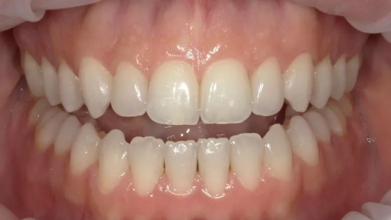
Пациент обратился с жалобой на потемнение эмали и неравномерный оттенок зубов, вызванный частым употреблением кофе и чая. После консультации и диагностики был подобран индивидуальный протокол лазерного отбеливания, включающий щадящий гель и низкоинтенсивное лазерное воздействие для сохранения эмали.
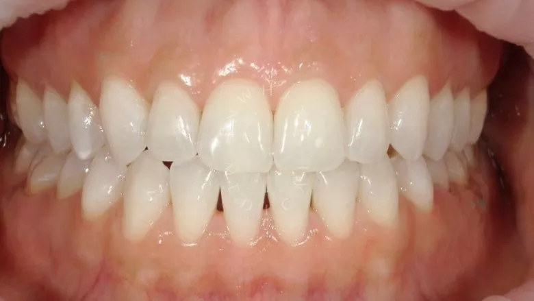
После лазерного отбеливания пациент отметил, что зубы стали не только светлее, но и ощущаются более гладкими и чистыми. Такой эффект достигается благодаря бережному действию лазера и контролю температуры, что делает отбеливание максимально комфортным и безопасным даже для чувствительных зубов.
После лазерного отбеливания пациент отметил, что зубы стали не только светлее, но и ощущаются более гладкими и чистыми. Такой эффект достигается благодаря бережному действию лазера и контролю температуры, что делает отбеливание максимально комфортным и безопасным даже для чувствительных зубов.
Результат


ДоПосле
Цены
Мы сейчас обновляем раздел с ценами. Актуальные цены вы можете посмотреть в разделе «Информация пациенту», в файле «Прейскурант на платные медицинские услуги».
Перейти в раздел «Информация пациенту»
Записаться
на прием

Портфолио
08/21