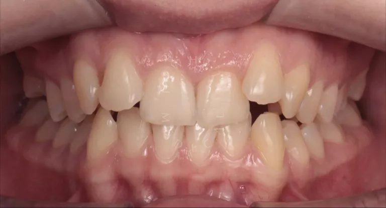
Лечение на брекет-системе

О работе
Лечение на брекет-системе
Результат


ДоПосле
Цены
Мы сейчас обновляем раздел с ценами. Актуальные цены вы можете посмотреть в разделе «Информация пациенту», в файле «Прейскурант на платные медицинские услуги».
Перейти в раздел «Информация пациенту»
Записаться
на прием

Портфолио
08/21





























