Лазерное отбеливание SmartBleach

О работе
Лазерное отбеливание SmartBleach
SmartBleach — отбеливание нового поколения :
Безопасность. Многочисленные научные исследования подтверждают безопасность данной процедуры для пульпы и эмали зубов.
Безболезненность. Процедура отбеливания абсолютно безболезненна, возможно только небольшое повышение чувствительности зубов в течение последующих 1–2 часов.
Уникальность. Процедура является эффективной при любых изменениях оттенка зубов, включая тетрациклиновое окрашивание.
Безопасность. Многочисленные научные исследования подтверждают безопасность данной процедуры для пульпы и эмали зубов.
Безболезненность. Процедура отбеливания абсолютно безболезненна, возможно только небольшое повышение чувствительности зубов в течение последующих 1–2 часов.
Уникальность. Процедура является эффективной при любых изменениях оттенка зубов, включая тетрациклиновое окрашивание.
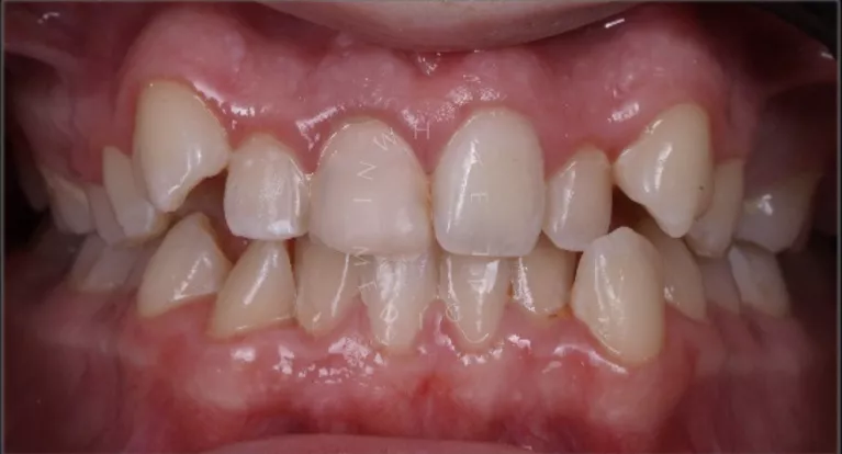
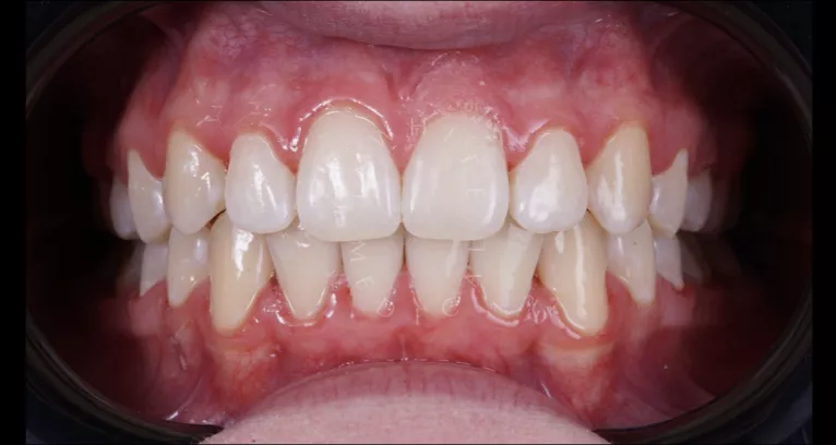
Результат


ДоПосле
Записаться
на прием

Портфолио
08/21




























