Лучшая частная
стоматология России 2025
в рейтинге Startsmile Top
при информационной
поддержке Forbes
ВЕРСИЯ ДЛЯ СЛАБОВИДЯЩИХ +7 (495) 150-00-50

Скрытый контактный кариес

Стоматологии премиум класса в Москве. Скрытый контактный кариес

О работе

Скрытый контактный кариес

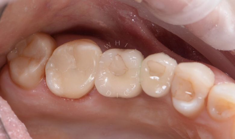
Результат

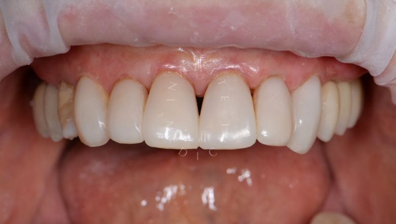
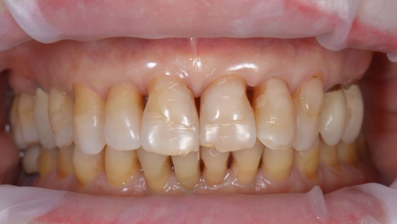
Стоматологии премиум класса в Москве. Скрытый контактный кариес - до процедуры
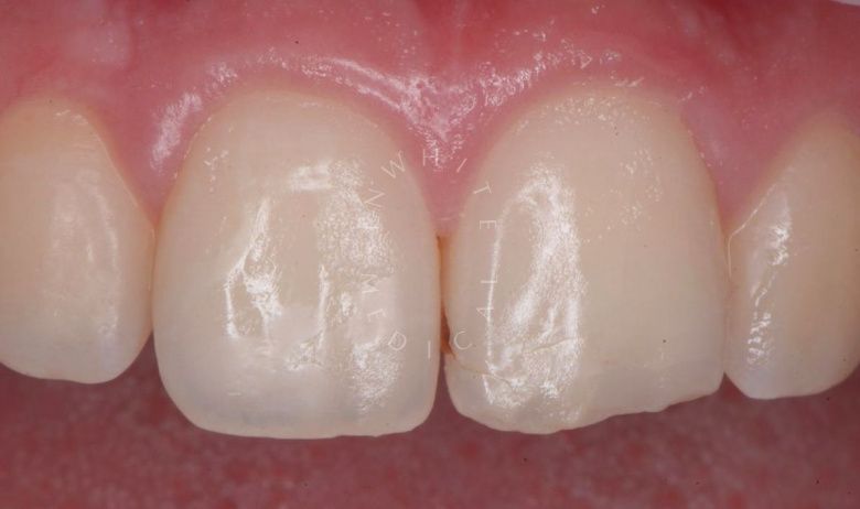
Стоматологии премиум класса в Москве. Скрытый контактный кариес - после процедуры
До После

Цены

Восстановление зуба пломбой (художественная реставрация с повышенными эстетическими показателямя; 1 категория) / А16.07.002.013

34 280 ₽

Восстановление зуба пломбой (художественная реставрация с повышенными эстетическими показателямя; 2 категория) / А16.07.002.014

41 000 ₽

Восстановление зуба пломбой (лечение фиссурного кариеса) / А16.07.002.015

19 360 ₽

Восстановление зуба пломбой (лечение кариеса I,V класс по Блэку) / А16.07.002.016

22 300 ₽

Восстановление зуба пломбой (лечение кариеса II,III класс по Блэку) / А16.07.002.017

26 290 ₽

Восстановление зуба пломбой (лечение кариеса IV класс по Блэку, МОД) / А16.07.002.018

28 230 ₽

Восстановление зуба пломбой под ортопедическую конструкцию / А16.07.002.019

25 890 ₽

Избирательное полирование зуба (коррекция композитных реставраций) / A16.07.025.001

3 630 ₽

Восстановление зуба пломбой (лечение кариеса методом Айкон) / А16.07.002.023

7 020 ₽

Восстановление зуба пломбой (лечение обратимого пульпита с использованием материала Биодентин) / А16.07.002.024

13 310 ₽

Восстановление зуба пломбой (наложение временной пломбы) / А16.07.002.022

1 820 ₽

Восстановление зуба коронкой (прямое восстановление скола керамики) / A16.07.004.008

7 260 ₽

Восстановление зуба пломбой под ортопедическую конструкцию (простое) / А16.07.002.020

16 970 ₽

Инструментальная и медикаментозная обработка корневого канала (подготовка корневого канала под стекловолоконный штифт после пломбирования канала) / A16.07.030.004

5 450 ₽

Восстановление зуба пломбой (при некариозных поражениях; 1 категория сложности) / A16.07.002.021

22 300 ₽

Восстановление зуба пломбой (при некариозных поражениях; 2 категория сложности) / A16.07.002.022

28 230 ₽

Восстановление зуба пломбой (лечение поверхностного кариеса) / А16.07.002.023

11 890 ₽

Восстановление зуба пломбой (художественная реставрация с повышенными эстетическими показателямя; 3 категория) / А16.07.002.015

46 000 ₽

Записаться
на прием

Феоктистова Карина Евгеньевна

Портфолио

Назад в работы