
Профессиональное отбеливание лазерное
Направления лечения
Об услуге
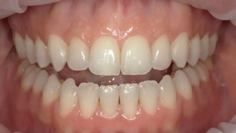
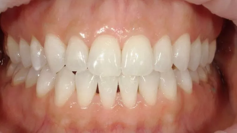
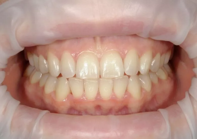
Профессиональное лазерное отбеливание зубов — высокоэффективная эстетическая процедура, позволяющая осветлить зубную эмаль на 8-12 тонов без вреда для зубных тканей. Основой технологии является фототермальный эффект: на поверхность зубов наносится специализированный гель, основным действующим веществом которого является перекись водорода или же перекись карбамида, а потом производится обработка каждой единицы лазером с длиной волны 810-980 нм. Под воздействием лазерного излучения, которое фактически играет роль катализатора, ускоряющего реакцию, гель распадается и выделяется активный кислород, способный проникнуть глубоко в ткани и разрушить находящиеся там красящие пигменты. При этом обработка зубов лазером дает еще и заметный терапевтический эффект: укрепляет зубную эмаль, делая ее плотней на 30-35 , и снижает бактериальную нагрузку в полости рта.
Показание для проведения процедуры лазерного отбеливания зубов — желание получить белоснежную улыбку. Помочь лазер может, если:
- эмаль пожелтела или потемнела;
- на зубах есть пигментные пятна;
- эмаль имеет неоднородный цвет;
- наблюдается возрастное потемнение, вызванное выработкой вторичного дентина.
В большинстве случаев осветляются только зубы во фронтальной зоне, которые видны при разговоре и улыбке. В процессе отбеливания можно изменить оттенок всех единиц, а можно воздействовать точечно, обработав только те зубы, оттенок эмали которых отличается от остальных. Но перед этим важно выяснить, по какой причине это произошло, ведь если изменение цвета было вызвано флюорозом или длительным приемом определенных фармпрепаратов, эстетическая процедура не даст нужного результата. Кроме того, важно знать, что лазерное отбеливание зубов не проводят пациентам:
- моложе 18 лет, у которых формирования зубной эмали не завершено;
- с повреждениями эмали (трещины, сколы);
- в период беременности и Г, когда из-за гормональной перестройки эмаль истончается;
- с большим количеством пломб и реставраций — стоматологические материалы, применяемые при таком лечении, не поддаются осветлению;
- с запущенными стоматологическими заболеваниями и повышенной чувствительностью;
- проходящим ортодонтическое лечение при помощи брекет-системы;
- у которых есть аллергия на компоненты отбеливающего геля.
В большинстве случаев для качественного осветления эмали достаточно одной процедуры, но если пятна на зубах слишком темные, может потребоваться 2-3 сеанса.
Применение лазера для изменения оттенка зубной эмали предполагает использование специального оборудования. И хотя стоит лазерное отбеливание зубов дороже аналогичных процедур (например, фотоотбеливания), популярность его стабильно растет. Этот метод отбеливания предполагает использование двух видов лазера:
- диодного — демонстрирует повышенную каталитическую эффективность, обеспечивает лучший результат при работе с пожелтевшими зубами;
- зеленого (КТР) — способствует созданию щелочной среды на поверхности зубов, благодаря чему особенно хорошо расщепляется темный пигмент.
По результативности они равны, но зеленый лазер позволяет сократить время экспозиции и ускорить процедуру.
Процедура лазерного отбеливания зубов в Inwhite Medical проходит для пациента совершенно безболезненно, занимает не более часа, и предполагает обработку каждого зуба по отдельности. Такой поход позволяет при необходимости обеспечить точечное воздействие (актуально при наличии пятен на некоторых зубах) и получить идеальный результат. А предварительно проводится профессиональная чистка и необходимое стоматологическое лечение. Отбеливание лазером осуществляется опытным врачом-стоматологом, и предполагает последовательное выполнение следующих манипуляций:
- Изоляция мягких тканей (применяются фиксаторы и защитный состав для слизистой).
- Определение оттенка эмали по шкале VITA.
- Нанесение на поверхность зубов отбеливающего геля.
- Активация геля при помощи лазера (каждый зуб обрабатывается порядка 20 секунд, а общее время экспозиции не превышает двух минут).
- Удаление остатков геля.
- Нанесение на эмаль финишного покрытия (геля, снижающего чувствительность, содержащего фтор лака, герметика).
В процессе отбеливания уровень pH в ротовой полости остается нейтральным, эмаль не пересыхает, зубы не повреждаются, а их чувствительность не повышается, так как ткани не перегреваются.
После лазерного отбеливания зубов наши пациенты:
- получают мгновенный результат;
- могут наслаждаться идеальной белизной своей улыбки и вести привычный образ жизни;
- не испытывают дискомфорта при употреблении горячей, холодной, сладкой или кислой пищи.
Эффект от лазерного отбеливания зубов сохраняется от одного года до 5 лет в зависимости от качества домашнего ухода, регулярности проведения профгигиены и образа жизни пациента.
Цены на эстетические стоматологические процедуры в разных клиниках Москвы могут существенно отличаться, а зависят они от квалификации врача-стоматолога, используемых технологий и применяемого оборудования. Чтобы узнать, сколько стоит лазерное отбеливание зубов в Inwhite Medical, изучите актуальный прайс на нашем сайте. Профессиональное отбеливание лазером — это возможность улучшить эстетику улыбки быстро и без вреда для зубов. Специалисты Inwhite Medical владеют всеми методами отбеливания зубной эмали, что гарантирует достижение нужного результата в 100 случаев. Запишитесь на прием, и мы сделаем вашу улыбку белоснежной. А уточнить информацию о предоставляемых услугах и ценах можно по телефону у администратора клиники.
Записаться
на прием










