
Отбеливание
Направления лечения
Об услуге
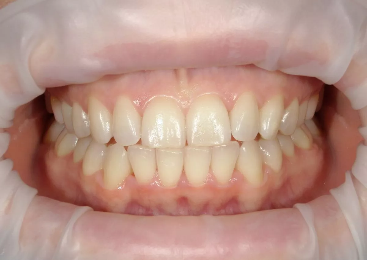
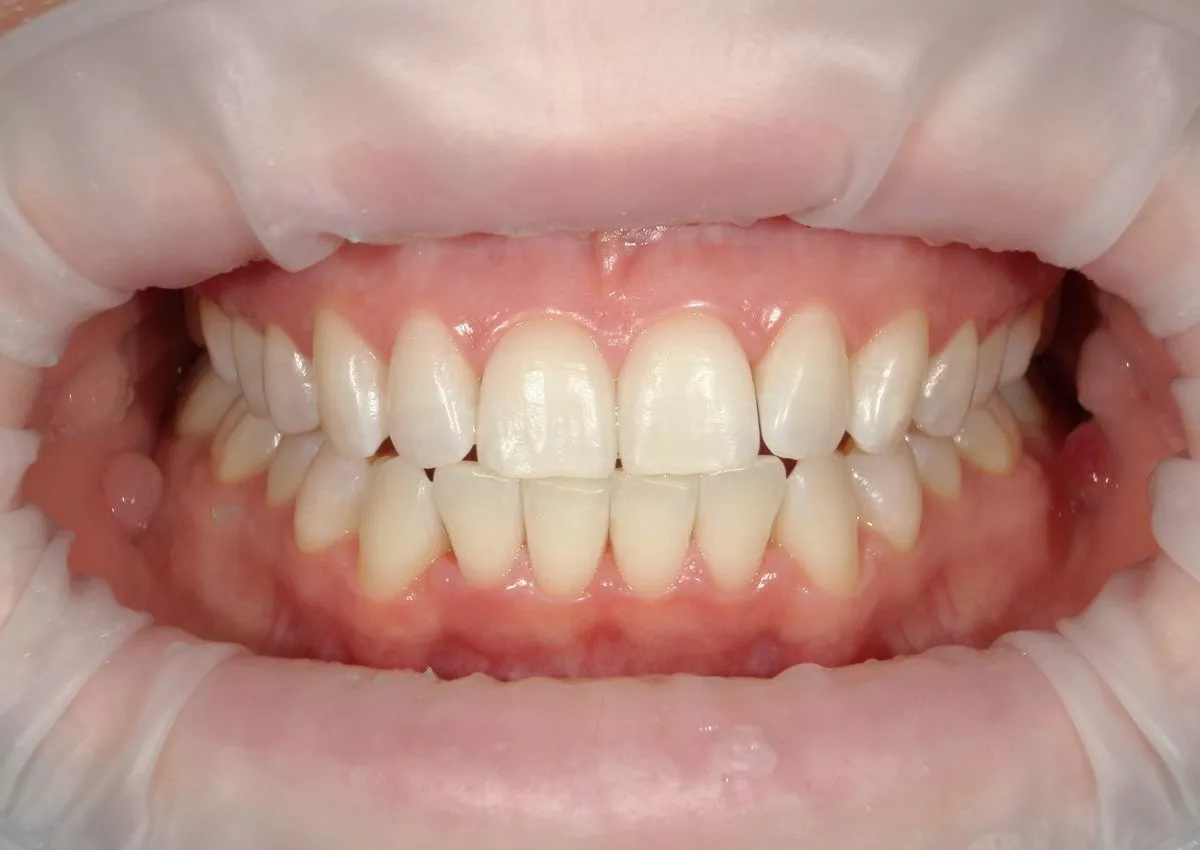
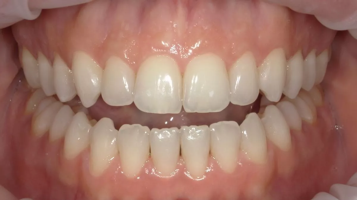
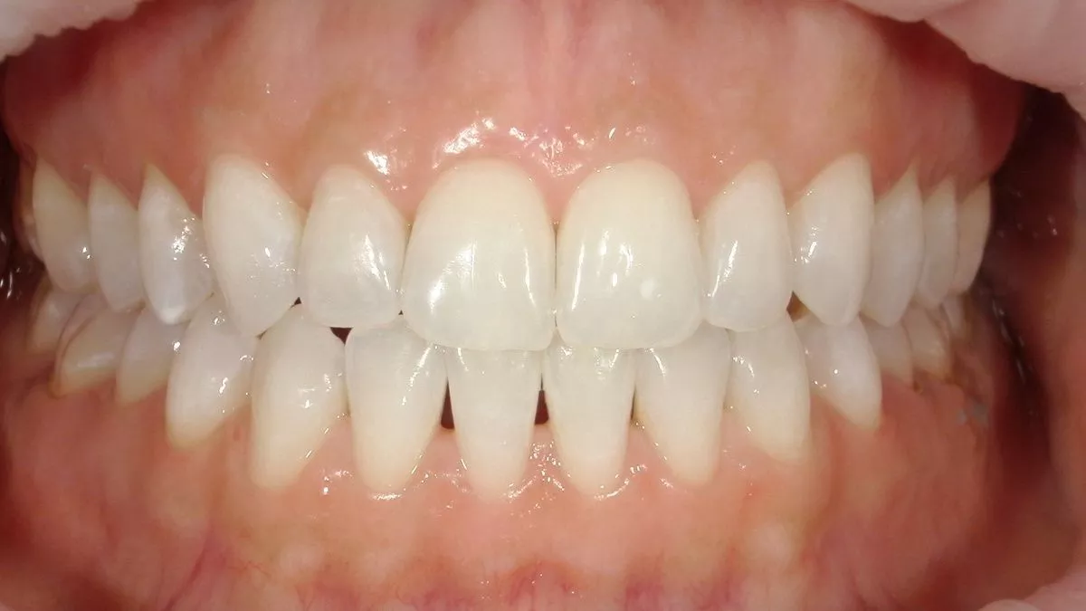
Профессиональное отбеливание зубов — эстетическая процедура, которая делает зубную эмаль светлее и помогает вернуть красоту улыбки. Проводится сеанс отбеливания в клинике с использованием специальных препаратов и оборудования, эффект от процедуры заметен сразу.
Отбеливание зубов — эстетическая процедура, которая проводится при помощи препаратов с перекисью водорода, и дает возможность сделать улыбку белоснежной. В процессе отбеливания зубная эмаль становится светлее на несколько тонов за счет вытеснения из твердых тканей красящих пигментов. Популярность такой процедуры стабильно растет, ведь красивая улыбка добавляет образу привлекательности и уверенности. Проводить отбеливание эмали пациентам можно старше 18 лет и только в том случае, если зубы здоровы. Эффект сохранится от полугода до нескольких лет в зависимости от того, какая технология была выбрана. Чтобы сохранить результат как можно дольше, рекомендуется придерживаться «белой» диеты, отказавшись от продуктов и напитков с красителями, и закрепить результат системой домашнего отбеливания. Важно проводить профессиональное отбеливание зубов в стоматологии под контролем опытного врача и с помощью подобранных специалистом средств.
Многие пациенты спрашивают, какое отбеливание зубов эффективнее, но однозначно ответить на этот вопрос нельзя. При выборе метода осветления эмали учитываются целый ряд факторов: от исходного оттенка зубов и пожеланий пациента до состояния полости рта. Стоматологическая клиника Inwhite Medical предлагает три вида отбеливания зубов:
Профессиональное отбеливание зубов Philips ZOOM-4 предполагает активацию отбеливающего состава светодиодной лампой и позволяет осветлить эмаль на 3-8 тонов. Лампа настраивается под каждого пациента и обеспечивает бережное воздействие без перегрева тканей. Это одна из наиболее эффективных и безопасных технологий, но после сеанса отбеливания может наблюдаться повышенная чувствительность зубов, которая нормализуется в течение суток. Для достижения нужного эффекта за один сеанс проводится три отбеливающих цикла, каждый из которых включает нанесение на зубы геля и засвечивание его лампой в течение 15 минут. Эффект сохраняется не менее 3-х лет.
Осветление зубной эмали лазером считается самым безопасным вариантом отбеливания зубов. При проведении сеанса используется технология Smart Bleach 3LT: лазер с длиной волны 810-980 нм активирует гель с безопасным щелочным pH. Он оказывает на зубы щадящее воздействие. Эта методика дает возможность осветлять эмаль на 8-12 тонов и осуществлять точечное воздействие, что важно, если требуется обработать один потемневший зуб. Кроме активации геля, лазер обеспечивает бактерицидный эффект, поэтому после процедуры бактериальная нагрузка на ткани полости рта значительно снижается. Эмаль хорошо осветляется, при этом ткани не перегреваются, так что чувствительность зубов не повышается. А результат процедуры при условии соблюдения рекомендаций врача-стоматолога сохраняется до трех лет, так что можно сказать, что это лучшее отбеливание зубов.
С применением системы домашнего отбеливания осветлять зубы можно в комфортном режиме и в привычных условиях, хотя это занимает больше времени, чем в клинике. Лучший результат в домашних условиях обеспечивают:
- готовые системы — они бывают дневными (концентрация геля в них 6-9,5 ) и ночными (с концентрацией 10-22 ), а подходящий вариант подберет врач;
- осветляющие гели в сочетании с индивидуальными каппами, изготовленными в клинике по слепкам конкретного пациента.
В Inwhite Medical используются разные методы отбеливания зубов, дающие хорошие эстетические результаты. Принципы проведения процедур отбеливания зубов:
- Процедура проводится высококвалифицированными специалистами, в комфортных условиях, после предварительной диагностики и профессиональной чистки.
Метод осветления эмали и количество процедур подбирается индивидуально. Врач-стоматолог определит исходный оттенок зубов, уточнит, какой результат хочет получить пациент, и скажет, какое отбеливание зубов поможет этого добиться.
- После отбеливания врач-стоматолог дает рекомендации по уходу за зубами и питанию для сохранения результата процедуры.
Мы принимаем пациентов всех возрастов, проводим современную диагностику кариеса зубов и сложные аппаратные обследования,что позволяет диагностировать состояние зубов быстро, за одно посещение. Подробнее об услугах смотрите в соответствующих разделах сайта. Стоимость процедур отбеливания зубной эмали зависит от выбранной технологии и применяемых препаратов. Узнать, сколько стоит отбеливание зубов в Inwhite Medical можно, изучив прайс на сайте, где указаны цены на все предлагаемые услуги, или по телефону у администратора клиники.
Профессиональное отбеливание Philips ZOOM! white speed (4 поколение) / А16.07.050.002
27 500 ₽
Профессиональное отбеливание. Дополнительный материал для домашнего отбеливания Opalescence (2 каппы; отбеливающий гель) / А16.07.050.003
17 000 ₽
Профессиональное отбеливание. Дополнительный материал для домашнего отбеливания Opalescence Treswhite (дыня) / А16.07.050.004
8 000 ₽
Профессиональное отбеливание. Дополнительный материал для отбеливания Opalescence Boost / А16.07.050.005
16 000 ₽
Профессиональное отбеливание зубов. Дополнительные шприцы (4 шт) отбеливающего материала из набора для домашнего отбеливания. / А16.07.050.006
8 500 ₽
Изготовление элайнера (изготовление индивидуальной каппы для домашнего отбеливания на 1 челюсть) / А23.07.002.065.001
4 400 ₽
Профессиональное отбеливание зубов. Каппы для снятия чувствительности. / А16.07.050.007
1 500 ₽
Профессиональное отбеливание. Дополнительный материал для домашнего отбеливания Opalescence 6% Дыня 4 каппы / А16.07.050.010
6 500 ₽
Профессиональное отбеливание. Дополнительный материал для домашнего отбеливания Opalescence 6% Дыня 10 каппы / А16.07.050.011
12 000 ₽
Профессиональное отбеливание. Дополнительный материал для домашнего отбеливания Opalescence 6% Мята 4 каппы / А16.07.050.012
6 500 ₽
Профессиональное отбеливание. Дополнительный материал для домашнего отбеливания Opalescence 6% Мята 10 каппы / А16.07.050.013
12 000 ₽
Профессиональное отбеливание. Дополнительный материал для домашнего отбеливания Opalescence Treswhite (мята) / А16.07.050.004.01
8 000 ₽
Профессиональное отбеливание зубов "Smart bleach 3 LT" (лазерное) / А16.07.050.001
49 500 ₽
Портфолио
Записаться
на прием

















