
Гигиена
Направления лечения
Об услуге
Комплексная профессиональная гигиена полости рта предполагает удаление с поверхности зубов всех видов отложений, полировку и укрепление эмали. Она проводится для снижения бактериальной нагрузки на мягкие и твердые ткани, профилактики стоматологических заболеваний, сохранения здоровья зубочелюстной системы. Плановую гигиену полости рта следует проходить два раза в год, при стоматологических заболеваниях, ортодонтической коррекции, индивидуальных особенностях состояния зубочелюстной системы врач-стоматолог может назначить визиты чаще.
Это комплекс профилактических процедур, направленных на удаление налета, зубного камня и пигментации с поверхности зубов. Она помогает предотвратить развитие кариеса, воспаления десен и других заболеваний зубочелюстной системы. Процедура включает использование современных аппаратных методов, которые безопасно очищают зубы. Профессиональная гигиена улучшает внешний вид, возвращает зубам естественную белизну, способствует укреплению эмали, снижает риска развития стоматологических проблем в будущем.
Гигиена полости рта в стоматологии InWhite Medical выполняется и вручную, и при помощи аппаратных методик.
Представляет собой комплексную чистку, при выполнении которой используется:
- ультразвук — нужен для снятия наддесневого и поддесневого зубного камня;
- Air-flow (воздушно-абразивная чистка) — обеспечивает удаление пигментированного налета;
- диодный лазер — расщепляет и удаляет камень и налет, обеспечивает антибактериальную обработку.
Этапы гигиены полости рта:
- Оценка состояния тканей и индикацией налета.
- Чистка лазером или ультразвуком.
- Обработка Air-flow.
- Полировка против повторного образования налета.
- Фторирование/реминерализация.
Стандартная комплексная гигиена полости рта, которая проводится по классическому протоколу, но с применением дентального микроскопа. Позволяет тщательно обработать поверхность зубов, аккуратно очистить десневую зону, провести полировку, не задев мягкие ткани. Показана пациентам с заболеваниями пародонта и патологиями прикуса. Также чистка с увеличением проводится в качестве подготовки к хирургическим операциям и коррекции брекетами.
Гигиену зубов и полости рта людям с заболеваниями пародонта проводит врач-стоматолог-пародонтолог, применяя в процессе чистки не только Air-flow, лазер и ультразвук, но и ручной инструмент. Вручную удаляют бактериальные отложения в корневой зоне и чистят глубокие пародонтальные карманы. Чтобы повысить безопасность и эффективность процедуры, применяется дентальный микроскоп.
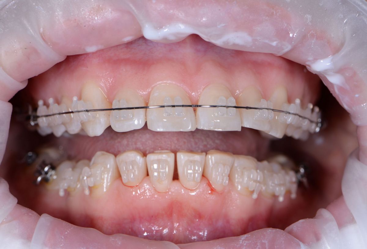
При ношении брекетов или протезных конструкций основным методом профгигиены является аппаратная чистка Air-flow. С ее помощью можно аккуратно обработать даже самые мелкие элементы ортодонтических систем, ортопедические элементы и конструкции. При необходимости снятия камня используется ультразвук.
Чтобы предотвратить развитие стоматологических патологий, важно правильно выполнять домашние гигиенические процедуры. Врач поможет с подбором необходимых средств и аксессуаров, покажет, где накапливается больше всего отложений (для этого используется индикатор налета), обучит правильным приемам очищения зубов и мягких тканей.
Используются фторсодержащие гели или лаки. Процедура выполняется после профгигиены, позволяет насытить зубную эмаль фтором, укрепить ее и предотвратить кариес.
Реминерализация проводится для укрепления эмали и нормализации ее состава за счет обработки специальными препаратами. Терапия реализуется как финишный этап профгигиены, показана при повышении чувствительности зубов, в качестве профилактики кариеса и для устранения кариозных очагов на стадии мелового пятна.
В Inwhite Medical протокол профессиональной гигиены полости рта предполагает выполнение полного спектра мероприятий по очищению и укреплению эмали зубов. Подробную информацию о каждом виде услуг можно в соответствующих разделах сайта. Процедуры проводятся опытными специалистами с использованием высокотехнологичного оборудования, что дает возможность пациенту:
- избавиться от 100 бактериальных отложений;
- вернуть эмали природный цвет;
- сохранить здоровье десен;
- укрепить зубную эмаль.
После профессиональнойгигиены полости рта доктор даст рекомендации по домашнему уходу и питанию для сохранения достигнутых результатов, и скажет, как часто следует делать гигиену полости рта. Стоимость услуг профилактической стоматологии зависит от выбранной технологии, применяемого оборудования, необходимости выполнения дополнительных манипуляций. Цены на такие услуги в Inwhite Medical можно уточнить, изучив прайс на сайте или по телефону у администратора клиники.
Профессиональная гигиена полости рта (стоматологический чек-ап после 18 лет) / А016.07.051.008
15 000 ₽
Профессиональная гигиена полости рта (стоматологический чек-ап до 18 лет) / А016.07.051.009
10 000 ₽
Профессиональная гигиена полости рта (снятие мягких и твердых наддесневых отложений после 18 лет) / А16.07.051.010
14 900 ₽
Профессиональная гигиена полости рта (одна челюсть) / А16.07.051.003
8 470 ₽
Профессиональная гигиена полости рта (снятие брекет-системы/несъемного аппарата с одной челюсти с последующей гигиеной) / А16.07.051.005
12 650 ₽
Профессиональная гигиена полости рта (снятие мягких и твердых наддесневых отложений до 18 лет с ремотерапией) / А16.07.051.007
9 800 ₽
Профессиональная гигиена полости рта с использованием увеличительной техники / А16.07.051.008
17 600 ₽
Профессиональная гигиена полости рта (снятие пигментированного налета ) / А16.07.051.002
7 150 ₽
Профессиональная гигиена полости рта (снятие поддеснывых зубных отложений; 1 зуб) / А16.07.051.003
2 750 ₽
Профессиональная гигиена полости рта (снятие поддеснывых зубных отложений; 1 челюсть) / А16.07.051.004
12 100 ₽
Обучение гигиене полости рта и зубов индивидуальное, подбор средств и предметов гигиены полости рта (урок здоровья) / А14.07.008
2 500 ₽
Глубокое фторирование эмали зуба (две челюсти) / A11.07.012.002
2 750 ₽
Глубокое фторирование эмали зуба (одна челюсть) / A11.07.012.001
2 090 ₽
Профессиональная гигиена полости рта (снятие мягких и твердых наддесневых отложений с ремотерапией (сменный прикус)) / А16.07.051.009
6 380 ₽
Профессиональная гигиена полости рта (снятие мягких и твердых наддесневых отложений с ремотерапией (временный прикус)) / А16.07.051.008
4 290 ₽
Профессиональная гигиена полости рта и зубов (гигиена условно-съемной конструкции) / A16.07.051.012
6 600 ₽
Профессиональная гигиена полости рта при заболеваниях пародонта (чистка карманов до 4 мм) / А16.07.051.010
16 500 ₽
Абонемент (3 посещения), профессиональная гигиена полости рта (снятие мягких и твердых наддесневых отложений после 18 лет) / А16.07.051.01
38 940 ₽
Портфолио
Записаться
на прием





















