Мы не просто про стоматологию.
Мы про вас и ваше доверие.
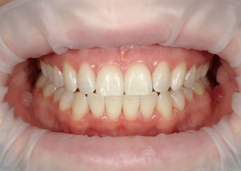
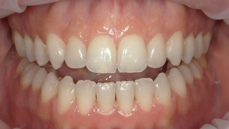
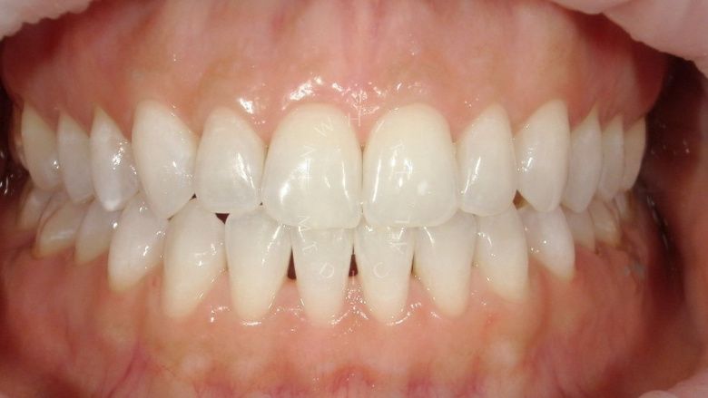
Смотреть портфолио
Донцова Альбина Салаватовна
Остались вопросы? Задайте их основателю клиники.











