Отбеливание

О работе
Отбеливание
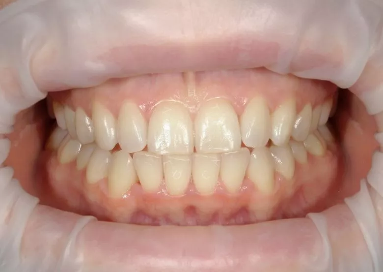
Пациентка обратилась с желанием освежить улыбку и убрать потемнение эмали.
Проведена диагностика и профессиональная гигиена, после чего выполнено лазерное отбеливание зубов по щадящей методике с контролем температуры и времени воздействия.
Проведена диагностика и профессиональная гигиена, после чего выполнено лазерное отбеливание зубов по щадящей методике с контролем температуры и времени воздействия.
Результат


ДоПосле
Записаться
на прием

Портфолио
08/21